Rev Cienc Clín 2022; 23(1-2): 44-47.

CASO CLÍNICO

Quiste dentígero y dientes supernumerarios en un paciente pediátrico: reporte de caso y revisión de literatura

Dentigerous cyst and supernumerary teeth in a pediatric patient: case report and literature review

RESUMEN

Se define a los dientes supernumerarios como una anomalía dental donde existe un número mayor de dientes de lo habitual, con una morfología y tamaños diversos, y una prevalencia en dentición primaria de 0.2% y en dentición mixta de 0.9%. Su asociación con lesiones quísticas, como el quiste dentígero (QD), es rara, representando el 5-6% del total de QD. En el presente escrito se reporta el caso de dos dientes supernumerarios y su asociación con un QD desarrollado a partir de uno de ellos en la región de dientes incisivos superiores en un paciente pediátrico, tratado mediante descompresión y posterior abordaje ortodóntico, obteniendo resultados favorables.

Palabras clave: quiste dentígero, pediatría, diente supernumerario, tratamiento.

ABSTRACT

Supernumerary teeth are defined as a dental anomaly where there is a greater number of teeth than usual, with a diverse morphology and sizes, and a prevalence in deciduous dentition of 0.2 and 0.9% in mixed dentition. Its association with cystic lesions, such as dentigerous cyst (DC) is rare, accounting for 5-6% of the total of DCs. In the present paper reports the case of two supernumerary teeth and their association with a DC, in one of them located in the upper incisor teeth region in a pediatric patient, and describes the use of decompression and subsequent orthodontic approach as treatment, obtaining favorable results.

Key words: dentigerous cyst, pediatric, supernumerary teeth, treatment.

Contenido

INTRODUCCIÓN

El quiste dentígero (QD) es el tipo más común de quiste odontogénico del desarrollo y es el segundo en frecuencia después del quiste radicular.1 Aproximadamente el 95% de todos los QD involucran la dentición permanente,2 siendo causados por la acumulación de líquido entre el epitelio reducido del órgano del esmalte y la superficie del esmalte dental del diente afectado.3 Se define a los dientes supernumerarios como órganos dentales adicionales a la dentición normal, que se desarrollan a partir de una actividad aumentada de la lámina dental, pudiendo o no estar relacionados a síndromes, los cuales tienen cierta predilección por el sexo femenino.4-7 Los QD asociados a dientes supernumerarios en pacientes pediátricos son raros, estimándose una frecuencia del 5-6% del total de ellos.2,8

REPORTE DE CASO

Se presentó a la Facultad de Odontología de la Universidad Autónoma de Chihuahua paciente masculino de 10 años de edad, cuyo motivo de consulta fue presentar malposición de dientes incisivos centrales superiores, así como un discreto aumento de volumen asintomático en el tercio medio facial del lado derecho. A la exploración clínica extraoral se advirtió ligera asimetría en el tercio medio facial, siendo evidente el desplazamiento superior del ala de la nariz derecha (figura 1a). Intrabucalmente se observó dentición mixta con desplazamiento y malposición de incisivo central superior derecho, además de ausencia de incisivo lateral ipsilateral y aumento de volumen vestibular en la zona maxilar anterior a nivel del surco gingivolabial derecho que sobrepasa la línea media (figura 1b).

Figura 1. a) Vista extraoral en donde se advierte discreta asimetría facial del tercio medio. b) Aumento de volumen en fondo de surco vestibular, se observa malposición dentaria y retención dental primaria.

Los estudios de imagen (radiografía panorámica y tomografía computarizada) revelaron la presencia de dos dientes supernumerarios retenidos localizados en la región anterior maxilar, uno de los cuales estaba asociado a una radiolucidez unilocular, involucrando su corona y provocando desplazamiento de los dientes 11, 12 y 13 hacia la porción distal (figuras 2a y b)

Figura 2. a) Radiografía panorámica donde se aprecia lesión radiolúcida y presencia de dientes supernumerarios amorfos (flechas). Nótese la retención del incisivo lateral superior derecho. b) Tomografía computarizada en cortes axiales presentando una extensa área hipodensa con perforación de corticales.

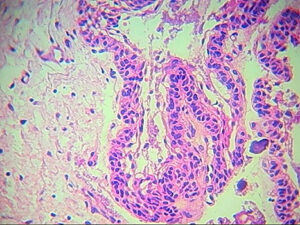
Se consideró la posibilidad de que se tratara de un queratoquiste odontogénico o de un QD, por lo que se llevó a cabo un abordaje quirúrgico de descompresión de la lesión mediante una biopsia incisional y extracción simultánea de los dientes supernumerarios, notando que el contenido no correspondía a queratina (descartando queratoquiste), por lo que se dejó la cápsula quística adherida a la pared de la cavidad. El análisis histopatológico reveló una pared fibrosa revestida por un epitelio plano escamoso no queratinizado, estableciendo el diagnóstico de QD (figura 3).

Figura 3. Aspecto microscópico de la lesión, la cual presenta revestimiento de epitelio plano no queratinizado de aspecto odontogénico y una cápsula de tejido fibroconectivo.

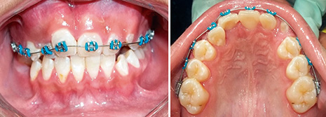
Se instruyó al paciente a realizar lavados periódicos de la cavidad tres veces al día con gluconato de clorhexidina diluida en agua (relación 1:1) por un periodo de tres meses, durante los cuales se evidenció una disminución gradual del tamaño de la lesión. A los nueve meses se observó una regeneración del defecto óseo, por lo cual se inició el tratamiento ortodóntico y se obtuvieron resultados aceptables sin evidencia de recurrencia en un seguimiento a dos años (figura 4).

Figura 4. Vista intrabucal a dos años de seguimiento incluyendo tratamiento ortodóntico, se observa mejoría en oclusión del incisivo lateral.

DISCUSIÓN

La EES es un trastorno benigno con síntomas agudos, identificada a través de endoscopia. Su frecuencia es baja, por ejemplo, en un hospital de Bélgica representó el 0.03 % de la todas las endoscopias de tubo digestivo alto durante seis años.10 Se le conoce con diferentes nombres, tales como esofagitis disecante superficial;2,12,13 esofagitis dissecans o esofagitis descamativa;3,14 consiste en el desprendimiento de la membrana superficial del esófago, ya sea en tiras o en forma fragmentada, con erosiones y presencia de úlceras.3,13-16 La mucosa subyacente tiene aspecto normal.9,16 Cuando la EES se asocia a PV o PF, en la endoscopia se observa descamación lineal de la mucosa sin sangrado, eritema, erosiones, fisuras o grietas,4,16 las erosiones cubiertas de exudado, lesiones vesiculares o ampollosas y hendiduras intraepiteliales,4,6,14 ocasionalmente se presenta signo de Nikolsky.6,14 Generalmente es de corta evolución, puede ser autolimitante o resolverse con medicamentos esteroides y otros inmunomoduladores.3,9,14 En contraste, cuando las lesiones persisten por tiempo prolongado con extensión a orofaringe y esófago con odinofagia y disfagia, posiblemente se trate de PV activo que se extendió al esógafo.4,13,17 Es importante hacer un diagnóstico diferencial con infecciones y descartar candidosis diseminada por Candida spp., o virus herpes, en especial en pacientes que usan medicamentos inmunosupresores10,15,16 o padecen enfermedades gastrointestinales como la esofagitis erosiva por reflujo, que presentan síntomas similares.12,15

La causa puede ser idiopática, pero se ha reportado asociada a uso de bifosfonatos,12,18 metotrexate,2,8 antiinflamatorios no esteroideos, reflujo gastroesofágico crónico,9,15 enfermedades mucocutáneas autoinmunes como lupus eritematoso,19 pénfigo y PF.4-6,14,20

Se manifiesta principalmente en mujeres, como en el presente caso,4,9,10,16 aunque puede afectar a niños.21 La edad promedio es de 55 años con un rango de 30 a 75 años.9,10,14 Los síntomas son muy variados y generalmente aparecen en un corto plazo, predomina la disfagia (100%), odinofagia (82.6%), reflujo (62.1%), pirosis (41.5%), pérdida de peso (21.7%), vómito y hematemesis, que se presentan especialmente en los casos agudos y graves.3,9,13,18 Cuando la EES se asocia a PV y PF los síntomas más frecuentes son odinofagia y disfagia.9,17-20

En la histopatología de la EES se ha descrito paraqueratosis, desprendimiento y necrosis de capa superficial epitelial con polimorfonucleares o eosinófilos, separación intraepitelial de diversos grados en el estrato espinoso con formación de hendiduras intraepiteliales o ampollas con mínimo infiltrado inflamatorio crónico subepitelial.3,9,10 Cuando la EES está asociada a diagnóstico confirmado de PV mucocutáneo se pueden apreciar células epiteliales con acantolisis (pérdida de cohesión entre los queratinocitos) en el estrato espinoso suprabasal y las células basales dispuestas en “lapidas”.6,14,20,22 Ocasionalmente se han llevado a cabo estudios de inmunofluorescencia directa que indicaron depósitos intercelulares de IgG y C3, y anticuerpos anti-desmogleína 3 (Dgs 3).4,16,20 En la citología exfoliativa teñida con tinción de Papanicolaou se identifican células acantolíticas (células de Tzanck), redondeadas con núcleo grande ovoideo hipercromático, nucléolos prominentes y un halo perinuclear bien definido.4

El PV es una enfermedad mucocutánea vesiculoampollosa autoinmune, más frecuente en mujeres, con pico de incidencia en la sexta década de vida.23 Es causada por una reacción autoinmune mediada por Dgs1 y 3, que conducen a pérdida de adhesión de las uniones celulares de los queratinocitos del estrato suprabasal, produciendo células con acantolisis y formación de vesículas o ampollas.13,20,23 La extensión del PV hacia la parte posterior de la cavidad oral afecta a la orofaringe, laringe y esófago.14,20,22,23 El primer caso publicado de PV involucrando el esófago, fue en 1970 por Raque et al,22 en un paciente que no tenía diagnóstico de PV, pero presentaba disfagia y odinofagía. Faias et al,24 informaron un caso de PV afectando exclusivamente al esófago, sin historia de lesiones cutáneas.

El caso aquí documentado trata de una mujer con comorbilidades, con historia de uso de medicamentos antiinflamatorios no esteroideos que provocó dañó renal, trastorno depresivo crónico, y trastorno gastroenteral (reflujo crónico) de años de evolución, con úlceras orales de semanas de evolución que fueron tratadas como infección por virus herpes. Es importante mencionar que las úlceras orales de evolución prolongada, no siempre se trata de una infección viral, por lo que es necesario la correlación clínica, histopatológica o citológica para confirmar el diagnóstico de otra enfermedad. En este caso, se trató de PV que se presentó únicamente en la mucosa oral, sin afectación dermatológica. Existe la posibilidad de que la historia de comorbilidades contribuyera a la afectación hasta el esófago. Se recomienda que en un individuo con PV, que además de las lesiones orales presente odinofagia, disfagia, reflujo, vómito, pérdida de peso, hematemesis, se solicite una endoscopia para identificar una posible EES y establecer el tratamiento indicado.

CONFLICTO DE INTERESES

Los autores declaran que no existen conflictos de interés.

REFERENCIAS

  1. De S Williams G. Esophagitis dissecans superficialis: a case report and literature review. Can J Gastroenterol. 2013; 27(10): 563-4.
  2. Rokkam VR, Aggarwal A, Taleban S. Esophagitis dissecans superficialis: malign appearance of a benign pathology. Cureus. 2020; 12(6): e8475.
  3. Carmack SW, Vemulapalli R, Spechler SJ, Genta RM. Esophagitis dissecans superficialis (“sloughing esophagitis”): a clinicopathologic study of 12 cases. Am J Surg Pathol. 2009; 33(12): 1789-94.
  4. Mignogna MD, Lo Muzio L, Galloro G, Satriano RA, Ruocco V, Bucci E. Oral pemphigus: clinical significance of esophageal involvement: report of eight cases. Oral Surg Oral Med Oral Pathol Oral Radiol Endod. 1997; 84(2): 179-84.
  5. Inoue K, Okajima T, Okamoto O, Murakami K. Bullous pemphigoid presenting with esophagitis dissecans superficialis. Intern Med. 2018; 57(1): 141-2.
  6. Chang S, Park SJ, Kim SW, Jin MN, Lee JH, Kim HJ, et al. Esophageal involvement of pemphigus vulgaris associated with upper gastrointestinal bleeding. Clin Endosc. 2014; 47(5): 452-4.
  7. Hokama A, Yamamoto Y, Taira K, Nakamura M, Kobashigawa C, Nakamoto M, et al. Esophagitis dissecans superficialis and autoimmune bullous dermatoses: A review. World J Gastrointest Endosc. 2010; 2(7): 252-6.
  8. Abbass K, Haveman L, Gertner E. Esophagitis dissecans superficialis due to severe methotrexate toxicity. Endoscopy. 2014; 46 Suppl 1 UCTN: E99-100.
  9. Hart PA, Romano RC, Moreira RK, Ravi K, Sweetser S. Esophagitis dissecans superficialis: clinical, endoscopic, and histologic features. Dig Dis Sci. 2015; 60(7): 20 49-57.
  10. Fiani E, Guisset F, Fontanges Q, Devière J, Lemmers A. Esophagitis dissecans superficialis: a case series of 7 patients and review of the literature. Acta Gastroenterol Belg. 2017; 80(3): 371-3.
  11. Albert DM, Ally MR, Moawad FJ. The sloughing esophagus: a report of five cases. Am J Gastroenterol. 2013; 108(11): 1816-7.
  12. Longman RS, Remotti H, Green PH. Esophagitis dissecans superficialis. Gastrointest Endosc. 2011; 74(2): 403-4.
  13. Hokama A, Yamamoto Y, Taira K, Nakamura M, Kobashigawa C, Nakamoto M, et al. Esophagitis dissecans superficialis and autoimmune bullous dermatoses: A review. World J Gastrointest Endosc. 2010; 2(7): 252-6.
  14. Morel-Cerda EC, Priego-Parra BA, Grube-Pagola P, Remes-Troche JM. Late-onset ‘sloughing esophagitis’ (esophagitis dissecans superficialis) associated with bullous pemphigoid. BMJ Case Rep. 2020; 13(7): e 235135.
  15. Teramoto-Matsubara O, Galvis-García ES, Abdo-Francis JM, Sobrino-Cossío S, Orozco-Gamiz A, Morales-Arámbula M, et al. La disfagia de corta evolución y su asociación con la esofagitis disecante y enfermedades concurrentes. Un reto diagnóstico. Cir Cir. 2019; 87(5): 572-9.
  16. Shah R, Thoguluva V, Bansal N, Manocha D. Esophageal dissecans: a rare life-threatening presentation of recurrent pemphigus vulgaris. Am J Emerg Med. 2015; 33(12): 1845.e1-2
  17. Fukuchi M, Otake S, Naitoh H, Shoji H, Yamagishi J, Suzuki M, Yanoma T, Kuwano YH. A case of exfoliative esophagitis with pemphigus vulgaris. Dis Esophagus. 2011; 24(3): E23-5.
  18. Hokama A, Ihama Y, Nakamoto M, Kinjo N, Kinjo F, Fujita J. Esophagitis dissecans superficialis associated with bisphosphonates. Endoscopy. 2007; 39 Suppl 1: E91.
  19. Yogarajah M, Sivasambu B, Jaffe EA. Bullous systemic lupus erythematosus associated with esophagitis dissecans superficialis. Case Rep Rheumatol. 2015; 2015: 930683.
  20. Cesar WG, Barrios MM, Maruta CW, Aoki V, Santi GG. Oesophagitis dissecans superficialis: an acute, benign phenomenon associated with pemphigus vulgaris. Clin Exp Dermatol. 2009; 34(8): e614-6.
  21. Ebigbo N, Park JY, Cheng E, Gurram B. Esophagitis dissecans superficialis in children. J Pediatr Gastroenterol Nutr. 2021; 73(2): e30-4.
  22. Raque CJ, Stein KM, Samitz MH. Pemphigus vulagis involving the esophagus. Arch Dermatol. 1970; 102(4): 371-3.
  23. Santoro FA, Stoopler ET, Werth VP. Pemphigus. Dent Clin North Am. 2013; 57(4): 597-610.
  24. Faias S, Lage P, Sachse F, Pinto A, Fidalgo P, Fonseca I, Nobre-Leitão C. Pemphigus vulgaris with exclusive involvement of the esophagus: case report and review. Gastrointest Endosc. 2004; 60(2): 312-5.
Universidad Autónoma Metropolitana
NÚMERO | ISSUE

Vol. 23, Núm. 1-2 • ene-dic 2022. p. 44-47.

ISSNe:

En trámite

Autores | Authors

Picture of Guillermo Martínez-Mata
Guillermo Martínez-Mata

Facultad de Odontología,
Universidad Autónoma de Chihuahua.
Chihuahua, México

Picture of Humberto Monreal-Romero
Humberto Monreal-Romero

Facultad de Odontología,
Universidad Autónoma de Chihuahua.
Chihuahua, México

Picture of Jorge Medina-López
Jorge Medina-López

Facultad de Odontología,
Universidad Autónoma de Chihuahua.
Chihuahua, México

Picture of Laura Carlos-Ballesteros
Laura Carlos-Ballesteros

Facultad de Odontología,
Universidad Autónoma de Chihuahua.
Chihuahua, México

Picture of Rosaura Pacheco-Santiesteban
Rosaura Pacheco-Santiesteban

Facultad de Odontología,
Universidad Autónoma de Chihuahua.
Chihuahua, México

Picture of Karla González-Alvarado
Karla González-Alvarado

Facultad de Odontología,
Universidad Autónoma de Chihuahua.
Chihuahua, México

Correspondencia | Corresponding Author

Guillermo Martínez Mata

Correo electrónico:

recibido | received

mayo 23, 2022.

Aceptado | accepted

noviembre 21, 2022.

DOI

doi: en trámite

https://doi.org/ en trámite

Martínez-Mata G. y cols. Quiste dentígero en dientes supernumerarios. Rev Cienc Clín 2022; 23(1-2): 44-47.

Revista de Ciencias Clínicas. Vol. 23, Núm. 1-2, enero-diciembre 2022, es una publicación semestral de investigación científica, editada por el Área de Investigación en Ciencias Clínicas del Departamento de Atención a la Salud, de la Universidad Autónoma Metropolitana, Unidad XochimilcoCalzada del Hueso Núm. 1100, Edificio H-101, Col. Villa Quietud, Alcaldía Coyoacán. CDMX, México. C.P. 04960. Tel. directo: (01-55) 5483-7242, https://edicionesberit.com. Editor responsable: M. en C. Adalberto Mosqueda Taylor. Reserva de Derechos al Uso Exclusivo del Título 04-2000-032717334000-102, ISSNe: en trámite. ambos otorgados por el Instituto Nacional del Derecho de Autor.

Responsable de la última actualización de este Número, Unidad de Informática Ediciones Berit FGV; tepetates 29 bis. Col. Sta. Isabel Tola. C.P. 07010. CDMX, México. Tels.: 55-3026-8672, 55-3900-4614 y 55-5759-5164. Correo electrónico: edicionesberit@gmail.com. Fecha de la última modificación 31 de diciembre de 2022.

Queda estrictamente prohibida la reproducción total o parcial de los contenidos e imágenes de la publicación sin previa autorización de la Revista de Ciencias Clínicas.

Todos los derechos reservados Universidad Autónoma Metropolitana - UNIDAD XOCHIMILCO, México 2022 REVISTA DE CIENCIAS CLÍNICAS®