Rev Cienc Clín 2021; 22(2): 66-73.

CASO CLÍNICO

Úlcera oral como manifestación de tuberculosis. Revisión de la literatura. A propósito de un caso clínico

Oral ulcer as a manifestation of tuberculosis. Literature review. About a clinical case

RESUMEN

La tuberculosis (TBC) es una de las 10 principales causas de mortalidad en el mundo, y en los últimos años los casos nuevos van en aumento. Se estima que una cuarta parte de la población mundial tiene TBC latente y que las personas inmunodeprimidas (VIH, desnutrición o diabetes) y fumadores, poseen mayor riesgo de padecer esta enfermedad. En vista de que es una enfermedad infectocontagiosa transmitida a través de la diseminación del bacilo de la TBC en el aire, la atención de un paciente diagnosticado o no, debe ser prioridad para que el estomatólogo se prepare para conocer síntomas y signos para la detección temprana y su manejo estomatológico. A pesar de que la mayoría de los casos de TBC son pulmonares, pueden existir manifestaciones orales que alerten al odontólogo en busca de un diagnóstico inicial oportuno. Solo si se mejora en la prevención de la enfermedad se podrá incidir en el control de la diseminación de nuevos casos. En el presente artículo se hace una revisión de la TBC oral enfocada en facilitar el reconocimiento de manifestaciones clínicas, así como los diagnósticos diferenciales para la detección temprana o bien el manejo estomatológico del paciente con TBC; y se presenta un caso clínico de esta condición.

Palabras clave: tuberculosis, oral, diagnóstico, prevención.

ABSTRACT

Tuberculosis (TB) is one of the 10 leading causes of mortality in the world. New cases have increased during the last years. Although a quarter of the world’s population has latent TB, immunosuppressed individuals (HIV, malnutrition or diabetes) and smokers are at higher risk for the disease. This entity is an infectious contagious disease transmitted through the spread of the tuberculosis bacillus in the air; the medical attention for patients, diagnosed or not, should be a priority for dentists to prepare themselves to identify symptoms and signs for early detection and their stomatological management. Although most cases present as pulmonary TB, there may be oral manifestations that alert the dental practitioners. Only if the prevention of the disease is improved, it will be posible to influence the control of the dissemination of new cases. In this article, a review of oral TB focused on facilitating the recognition of clinical manifestations, as well as differential diagnoses for early detection and stomatological management, as well as to present an illustrative case report

Key words: tuberculosis, oral, diagnosis, prevention.

Contenido

INTRODUCCIÓN

La tuberculosis (TBC) sigue siendo una de las 10 causas principales de mortalidad en el mundo. En 2016, 10.4 millones de personas enfermaron de TBC y 1.7 millones murieron por esta enfermedad, entre ellos 0.4 millones de personas con VIH porque en estos se incrementa la susceptibilidad de sufrir TBC hasta en 100 a 200 veces.1,2 La TBC multirresistente (MDR TB, por sus siglas en inglés) constituye una crisis de salud pública y una amenaza para la seguridad sanitaria. Más del 95% de las muertes por TBC se producen en países con bajos y medianos ingresos. Por su fuerte asociación con la pobreza y el hacinamiento, es una enfermedad que nunca ha sido erradicada en países subdesarrollados.3,4 Acabar para 2035 con la epidemia de TBC es una de las metas de salud incluidas en los objetivos de desarrollo sostenible adoptados por la Organización Mundial de la Salud (OMS) en 2015. En México, las instituciones de salud de los 32 estados, en 2017 reportaron 3,927 casos nuevos de TBC respiratoria, y 820 casos de TBC en otras formas, incluyendo TBC del sistema nervioso, de otros órganos y miliar.

En el 80% de los casos de infección por Mycobacterium tuberculosis existe afectación pulmonar; sin embargo, hasta en el 20% de los casos puede haber compromiso extrapulmonar. En la región de cabeza y cuello se puede presentar hasta en 10% de todos los casos de TBC, en donde los ganglios linfáticos cervicales son los más comúnmente involucrados; por otra parte, se identificó TBC nasofaríngea (NPTB, por sus siglas en inglés) en menos del 1% en la categoría de TBC de cabeza y cuello.3,5-7

Se estima que aproximadamente el 33% de la población mundial se encuentra colonizada por Mycobacterium tuberculosis, pero de estas personas solo el 5 a 10% desarrollarán signos y síntomas de la enfermedad. La OMS considera que factores como el insuficiente personal de salud entrenado y limitaciones del personal de laboratorio clínico, son los responsables del mal diagnóstico y manejo inadecuado de los pacientes con TBC. Dado que la transmisión de esta enfermedad se produce principalmente por vía aérea, las prácticas clínicas de los estudiantes del área de la salud son entornos de alto riesgo para la transmisión de TB.8,9

El objetivo de esta revisión es demostrar la importancia de identificar a los pacientes con TBC activa o en riesgo de padecerla, a propósito del aumento de casos nuevos, y porque muchos estudiantes de estomatología y egresados no tienen los suficientes conocimientos sobre las manifestaciones clínicas y de los métodos de prevención de la transmisión; además de brindar información actualizada acerca de la enfermedad como foco de infección cruzada.6,7,10

 Manifestaciones clínicas

Se calcula que una tercera parte de la población mundial tiene TBC latente, es decir, las personas están infectadas por el bacilo tuberculoso, aunque aún no se han enfermado y no pueden transmitir la infección, pero el 10% de ellas tienen riesgo de enfermar de TBC a lo largo de la vida.11,12

La TBC es una enfermedad cuyas manifestaciones clínicas no permiten diferenciarla con facilidad de otras entidades parecidas. La mayoría de los casos son de inicio insidioso, poco alarmante y bastante variable, dependiendo de la virulencia del agente causal, la edad, el órgano afectado y el estado inmunitario del huésped. Los síntomas llegan a incluir: fiebre, pérdida de apetito y peso, astenia, sudoración nocturna profusa y malestar general. En ocasiones aparece palidez y acropatías. Pueden oírse roncus originados por la obstrucción parcial de los bronquios y un timbre metálico al auscultar la cavidad pulmonar y encontrar biometría hemática con anemia ligera y leucocitosis.

La sintomatología puede ser leve y durar muchos meses; por tal motivo, los pacientes tardan en buscar atención médica y, en consecuencia, transmiten la bacteria a otras personas. A lo largo de un año, un paciente con TBC puede infectar de 10 a 15 personas por contacto cercano.4,13

Los sitios más comunes de TBC extrapulmonar en la región de cabeza y cuello son los ganglios linfáticos cervicales (81.25%), seguidos de la región sinonasal (6.2%), cavidad oral (4.1%), larínge, región retrofaríngea y espacio bucal, mientras que la TBC cutánea de la región de cabeza y cuello únicamente representa el 2.05%.14,15

Las linfadenopatías pueden ser múltiples, usualmente unilaterales, con mayor frecuencia en las cadenas ganglionares profundas, con un tamaño de 1.5 a cinco centímetros, las cuales generalmente se acompañan de adenopatías en distintas localizaciones como la región supraclavicular y axilar. Otras áreas que suelen afectarse concomitantemente son la faringolaringe, anillo de Waldeyer, oídos y apófisis mastoides, nariz, nasofaringe y senos paranasales, glándulas salivales o en piel y mucosas, donde llega a manifestarse como lesiones ulcerativas, granulomatosas, polipoides, múltiples o lesiones aisladas.10,16

 Tuberculosis oral

La TBC oral es una manifestación poco usual de la TBC extrapulmonar. Puede ser primaria o secundaria; la primaria es rara y más frecuentemente encontrada en niños y adolescentes; en tanto que la forma secundaria es más común (0.005 a 1.5% de los casos) y se ve generalmente en pacientes de mediana edad y ancianos.9,14 Se presenta en cualquier sitio de la cavidad oral y estructuras asociadas como mandíbula (hueso alveolar y basal), ganglios linfáticos de cara y cuello, glándulas salivales, antro y hueso maxilar, tejidos blandos como encía, lengua, músculos de la masticación, mucosa bucal, articulación temporomandibular o labios.17 Las úlceras son las manifestaciones orales más habituales de TBC en cavidad oral; en una TBC primaria producida por inoculación directa de una persona infectada a una susceptible, puede aparecer una úlcera asintomática y localizada, vinculada a la presencia de linfadenomegalia. Las ulceraciones en la TBC secundaria, originadas por autoinoculación a partir de secreciones contaminadas con el bacilo, causan profundo dolor. Los cambios dolorosos pueden interferir con el habla y la ingestión de alimentos, así como de ocasionar hiposalivación.16,17

Dolor y odinofagia son los síntomas locales más comunes y representan el 15% de todos los casos, acompañados de disfonía; otros síntomas incluyen sensación ardorosa, reflujo, salivación excesiva, halitosis y hemorragia intraoral. Los síntomas cutáneos incluyen una erupción escamosa en cabeza, eritema nodoso y lesiones en cuello, muñeca y cuerpo.14,18

Las úlceras en la cavidad oral son usualmente únicas, o en ocasiones son múltiples. La base de la úlcera puede estar cubierta de corpúsculos amarillentos o azulados, denominados gránulos de Trélat. Las ulceraciones tuberculosas duran mucho tiempo y no muestran tendencia a sanar y aumentan lentamente de tamaño.

 Factores predisponentes y patofisiología

En la cavidad oral la mucosa oral intacta, el flujo constante de saliva y su acción antibacteriana protegen de la invasión de bacilos tuberculosos a los tejidos subyacentes. Aunque el mecanismo de la inoculación primaria no se ha establecido definitivamente, se sabe que proviene del contacto de alguna secreción de una persona infectada, ya sea de manera directa o a través de un objeto o instrumental contaminado, al tiempo que en la lesión secundaria parece que los microorganismos son transportados en el esputo y entran en la mucosa oral como resultado de irritación crónica o inflamación, así que cualquier trauma local puede promover la infección. Otros factores locales predisponentes incluyen pobre higiene oral, ulceras, inflamación de la mucosa oral incluso después de una extracción dental, fractura de mandíbula, quistes o abscesos.9,16,17 Es imperativo realizar una adecuada inspección, dado que las lesiones orales por TBC pueden ocurrir en cualquier zona propensa a inoculación, aun por debajo de prótesis.

 Diagnóstico

Cuando se sospecha de TBC en cabeza y cuello, el diagnóstico se hará sobre la base de una historia clínica cuidadosa. Es importante tener en cuenta la sintomatología para diferenciar la TBC oral de otras entidades infectocontagiosas que cursen con signos como fiebre, linfadenomegalias, cambios cutáneos, trastornos gastrointestinales, tos crónica y malestar general.2,6,16

El diagnóstico de TBC con frecuencia se retrasa y puede ser un hallazgo inesperado por la escasa frecuencia de afectación en cabeza y cuello, la poca especificidad de muchas de sus manifestaciones y la baja disponibilidad de pruebas rápidas.19 La TBC de cabeza y cuello con afectación pulmonar simultánea tiene lugar en un 10-20% de los casos y su diagnóstico debe estar respaldado por estudios de imagen y baciloscopia seriada para orientar el diagnóstico. No es infrecuente que casos de TBC de cabeza y cuello se diagnostiquen inicialmente como cáncer, puesto que en ocasiones pueden coexistir ulceras bucales con afección pulmonar y simular algún carcinoma con metástasis.20

Para un diagnóstico de certeza y rápido se requiere siempre la detección de M. tuberculosis con la tinción para detectar bacilos acido-alcohol resistente (BAAR) mediante el empleo de las técnicas de Ziehl Neelsen y Auramina, pero para que sean detectables deben existir entre 5,000-10,000 bacilos/ml en la muestra, lo cual no es probable en la TBC nasofaríngea, en la que las lesiones más frecuentes son granulomatosas o nodulares.19,20 Es por ello que en las presentaciones de TBC extrapulmonares se recomiendan muestras obtenidas de tejidos por biopsia y su cultivo microbiológico con una sensibilidad entre el 70-80%, porque en muestras de líquidos biológicos es del 5-20%.13,21

 Diagnóstico diferencial

El cuadro clínico de TBC es variable y no específico, por lo que el diagnóstico diferencial incluye varias enfermedades granulomatosas (cuadro 1). Para determinar la causa de la ulceración oral se requiere un historial médico completo, examen clínico y exámenes de laboratorio e imagen complementarios. Es esencial definir el número de úlceras, su duración y apariencia de los márgenes.16,22

 Tratamiento

Los fármacos antituberculosos se han usado por decenios y la resistencia a ellos va en aumento. En todos los países estudiados se ha comprobado la existencia de cepas del bacilo que presentan resistencia a por lo menos un medicamento antituberculoso. En algunos casos la farmacorresistencia puede ser severa y se conoce como TBC ultrarresistente.1,2 En 2010 se contabilizaron cerca de 650,000 enfermos de TBC farmacorresistente en el mundo y se calcula que 9% de estos eran del tipo ultrarresistente.23

En cuanto a la farmacoterapia, se recomienda un esquema de cuatro medicamentos (isoniazida, pirazinamida, ethambutol, rifampicina) durante la primera fase de tratamiento, para asegurar su eficacia, y de acuerdo con el esquema seleccionado pueden administrarse diariamente o tres veces por semana durante dos meses. En la segunda fase del tratamiento se realiza con al menos dos medicamentos hasta completar seis meses.2,8

La vacuna BCG es el procedimiento preventivo universal contra la TBC. La declaración de principios de la Federación Dental Internacional incita a que los profesionales responsables de la salud bucodental tomen conocimiento de esta enfermedad pandémica, además de que por norma deben recibir la vacunación BCG, sobre todo en regiones geográficas o ambientes sanitarios donde la TBC está muy extendida.8,23

La OMS sugiere que el tratamiento debe ser directamente supervisado para asegurar la adherencia al mismo, y así permitir identificar aquellos pacientes con riesgo de abandono al tratamiento y a quienes desarrollan efectos secundarios a los fármacos antifímicos. Es importante vigilar que el paciente tome diariamente sus medicamentos, porque debido a las reacciones secundarias indeseables, o a que el paciente se siente mejor, a menudo abandona la terapia. En los pacientes con VIH quizás sea necesario extender el periodo de administración.9,23,24 El manejo supervisado verificando la ingesta de los medicamentos logra una tasa elevada de curación.2,3

 Prevención de la transmisión

Las enfermedades infecciosas representan un serio riesgo para los profesionales de la salud. La magnitud de riesgo de transmisión de TBC a un trabajador varía de acuerdo a la incidencia de TBC activa en la comunidad, el tipo de clínica donde trabaja y sus condiciones socioambientales.1,5 La categoría de riesgo para los consultorios dentales puede ser de: Riesgo mínimo: no se han tratado pacientes con TBC activa, y no se han reportado casos en la comunidad en el último año; Muy bajo riesgo: no se han tratado pacientes con TBC activa, pero se han reportado casos en la comunidad en los últimos doce meses; Bajo riesgo: se ha dado tratamiento dental a menos de seis pacientes con TBC activa en un año y no hay evidencia de transmisión de la enfermedad; Riesgo intermedio: se ha dado tratamiento dental a seis o más pacientes con TBC activa en un año; Alto riesgo: hay evidencia de transmisión de TBC.1,3,5

Es muy importante considerar que, tanto en áreas clínicas como las salas de espera, las posibilidades de infección pueden ser altas porque el aislamiento y el tratamiento no se han implementado debido a que los pacientes aún no han sido valorados ni diagnosticados.23

La TBC se transmite a través de la vía aérea cuando el paciente con TBC pulmonar activa habla, estornuda o tose, pues las partículas con el bacilo son aerolizadas en el ambiente y dichas gotas llegan a permanecer circulando en el aire por largos periodos de tiempo, así que cualquier persona puede infectarse al inhalar las partículas,23,25 y por ello el riesgo de infección se basa no solo en las probabilidades de estar en contacto con el bacilo, sino también en el nivel de comprensión y aplicación de adecuadas medidas de protección.

El personal de odontología que trabaje en centros hospitalarios, casas de retiro, centros penales, comunidades con bajos recursos, malas condiciones de sanidad o correccionales, tiene mayor riesgo de contraer TBC que el personal que labora en clínicas privadas, porque las características socioambientales y demográficas de la población atendida pueden contribuir a la transmisión de TBC.3

Las medidas preventivas incluyen desde evitar la generación de micropartículas, impedir su diseminación, reducir la contaminación del aire (adecuada ventilación ambiental y el empleo de ventiladores y/extractores o purificadores de aire), así como de las precauciones universales de bioseguridad.26

REPORTE DE CASO

Paciente de sexo femenino de 44 años de edad, residente y procedente de la ciudad de Corozal, Belice, quien al encontrarse en la Ciudad de México asistió a consulta privada para valoración y manejo de úlcera en boca, persistente desde hace seis meses.

Como antecedentes personales patológicos refirió enfermedad de Behcet diagnosticada hace cinco años. Al momento del interrogatorio se encontraba en tratamiento con metrotexate 7.5 mg semanal, prednisona 10 mg al día, azatioprina 150 mg al día y ácido fólico 5 mg (el cual toma de manera ocasional), como dosis recomendadas por su médico tratante. Otros antecedentes interrogados y negados.

Inició cuadro clínico hace tres semanas, con odinofagia intensa y disfagia, fiebre no cuantificada; negó síntomas nasales, datos de dificultad respiratoria, tos o pérdida de peso. Refirió que para su afección faríngea ha recibido múltiples tratamientos a base de amoxicilina con ácido clavulánico, azitromicina, penicilina benzatínica, analgésicos y antiinflamatorios no esteroideos, sin mejoría.

Al examen físico se apreció mucosa nasal ligeramente eritematosa, sin evidencia de rinorrea. Cavidad oral, pilares anteriores y posteriores sin alteración, pero ligeramente eritematosos. Úlcera en cavidad oral a nivel de mucosa libre en zona vestibular de segundo molar inferior derecho de 1×1 cm de diámetro, bordes ligeramente elevados, fondo con fibrina, no desprendible, mucosa adyacente de características normales. Adenopatía de un centímetro en nivel de cadena cervical posterior derecha, no adherida a planos profundos, blanda, sin cambios en la piel adyacente. Por las características de la lesión y antecedentes patológicos, se decidió tomar biopsia excisional con anestesia local, y se recibió un reporte histopatológico de mucosa con inflamación aguda y crónica ulcerada, y como estudios complementarios biometría hemática sin leucopenia con ligera linfocitosis (45%). Por los síntomas respiratorios se remitió a otorrinolaringología, donde se efectuó nasoendoscopia y se evidenció nasofaringe con lesión granulomatosa, con ligero aumento de volumen, abundante fibrina y secreción purulenta, con características similares a la de cavidad oral (figura 1).

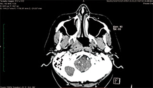
Se tomó tomografía contrastada de macizo facial, la que se apreció sin cambios evidentes, únicamente se advirtió un ligero aumento de volumen en la pared faríngea izquierda (figura 2).

Se decidió llevar a cabo biopsia, obteniendo reporte histopatológico de probable Linfoma No Hodgkin, por lo que se solicitaron estudios de inmunohistoquímica, encontrando patrón de CD20 (pan-B) positivo reactivo, y CD3 (pan-T) positivo patrón reactivo, por lo que se reporta como hiperplasia linfoide reactiva difusa con zonas de necrosis. Se realizaron tinciones ZN, PAS y Grocott, las cuales resultaron negativas para hongos y micobacterias. Ante la negatividad de los marcadores para Linfoma No Hodgkin, se repitió la biopsia para estudio de PCR con reporte positivo para TBC. En la radiografía de tórax se apreciaron infiltrados algodonosos bilaterales, por lo cual se solicitó baciloscopia seriada, la cual se reportó como positiva para TBC. La paciente recibió tratamiento estrictamente supervisado bajo los protocolos internacionales y presentó completa remisión de TBC pulmonar y extrapulmonar a un año de tratamiento.2,3,6,18

Figura 1. Imagen de endoscopía rígida de 0 grados, en área V de Cottle, nasofaringe con aumento de volumen proveniente de pared posterior, de apariencia granulomatosa, exudado purulento, con abundante cantidad de fibrina, friable, con edema perilesional, que obstruye trompa de Eustaquio. 

Figura 2. Obsérvese dentro del circulo, zona hipodensa con aumento de volumen de pared de nasofaringe. 

DISCUSIÓN

Las TBC oral y nasofaríngea son entidades raras que comprenden menos del 1% de la TBC que se encuentra en el tracto respiratorio superior.27 Entre las TBC de cabeza y cuello, en el 95% de los casos la primera manifestación es la linfadenitis cervical y pueden coexistir lesiones ulcerativas, granulomatosas, polipoides, múltiples o lesiones aisladas;14,22 no obstante, en el presente caso no se encontró ningún ganglio linfático palpable al examen clínico ni en la exploración por TAC, únicamente las úlceras en la mucosa oral y nasofaringe.

Aunque la TBC nasofaríngea llega a presentarse de muchas maneras, los signos y síntomas pueden pasarse por alto fácilmente si son poco evidentes; además, el paciente puede referirse completamente sano, sin enfermedad subyacente y sin historial de contacto, y únicamente presentar odinofagia, epistaxis, datos de rinosinusitis crónica, tos crónica, escurrimiento nasal posterior y obstrucción nasal, o síntomas obstructivos de trompa de Eustaquio.21,28 Una revisión retrospectiva llevada a cabo en Corea del Sur, sugiere que la TBC nasal o nasofaríngea debe considerarse en el diagnóstico inicial de las enfermedades inflamatorias sinonasales con síntomas inespecíficos no concluyentes, especialmente si es un caso en un área de alta incidencia de TBC pulmonar y extrapulmonar.29

La forma primaria oral es más rara, generalmente ocurre en pacientes más jóvenes o niños y cursa con lesiones indoloras en la cavidad oral. La secundaria, más frecuente, se debe a autoinoculación con el esputo en pacientes con TBC pulmonar, como sucedió en el caso que aquí se presenta.

Las alteraciones en la TBC oral y nasofaríngea se manifiestan como lesiones únicas o múltiples en forma de nódulos, úlceras superficiales o placas de evolución tórpida como en el presente caso, y durante su evolución pueden mostrarse también fisuras, vesículas o masas,17,22 es por ello que estas lesiones tienen una gran cantidad de diagnósticos diferenciales que incluyen neoplasias malignas (carcinoma epidermoide, linfoma), infección fúngica (aspergilosis, mucormicosis, histoplasmosis, paracoccidioidomicosis), inflamación granulomatosa (sarcoidosis, lepra, sífilis, TBC) y enfermedad autoinmune (poliarteritis nodosa). No es infrecuente que los casos de TBC de cabeza y cuello se diagnostiquen inicialmente como cáncer.30 Por ejemplo, en la serie de TB laríngea de Wang y cols.27 reportaron en 2007 que de sus 27 casos, el diagnóstico clínico primario más frecuente fue la malignidad en el 66.6% de ellos, lo que no es inusual debido a la similitud en la presentación de los síntomas y las características de neoplasia laríngea. Nishiike et al.31 citaron a un paciente con aparente cáncer de laringe y después de tratamiento con radioterapia durante cuatro meses, se constató en su evolución una masa tumoral en glotis; se efectuó nueva biopsia y se informó una TBC secundaria por inmunosupresión. Estos errores de diagnóstico se pueden entender porque el cáncer orofaríngeo comparte como factor etiológico al tabaquismo, mismo que por sí solo también se encuentra asociado al aumento de frecuencia de presentación de TBC, pues la OMS estima que en 2050, fumar en exceso se asociará a 18 millones de casos de TBC, por lo cual considera que los esfuerzos deben ser encaminados a dejar de fumar durante y después del tratamiento de la TBC.32,33

Por otra parte, debido a los retrasos diagnósticos, como fue en el caso de nuestra paciente, los métodos moleculares que se basan en la amplificación de fragmentos genéticos específicos de M. tuberculosis permiten un diagnóstico rápido sobre la muestra directa. La mayoría de estos procedimientos emplean la técnica de reacción en cadena de la polimerasa (PCR). La sensibilidad para TBC extrapulmonar oscila entre 50-70%, pero con una especificidad elevada de 90-95%.19,26,34

La PCR en muestras fijadas únicamente en formol tiene una sensibilidad variable del 30-60%, por lo que es importante que las muestras obtenidas de biopsia para cultivo se conserven en agua destilada o solución salina al 0.9%, y se recomienda que el tejido se envíe de inmediato al laboratorio para frotis y cultivo, lo que incrementa la sensibilidad y especificidad.26,34 La OMS recomienda el uso del ensayo Xpert®MTB/RIF (nueva tecnología para el diagnóstico de la TBC y su resistencia a la rifampicina) para la TBC pulmonar como el estudio diagnóstico inicial en adultos y niños que se presume que tienen TBC o TBC asociada o condicionada a VIH.19,26

CONCLUSIÓN

Debido al aumento de la prevalencia de la TBC en la población mundial, y ante la presencia de síntomas nasales, nasofaríngeos y/o lesiones orales, se recomienda elaborar una historia clínica completa y buscar factores de riesgo, signos y síntomas iniciales. En la mayoría de los casos se requiere realizar también una nasofibrolaringoscopía. Se sugiere que, de encontrarse una lesión con características granulomatosas, tomar una biopsia y dividir la muestra en dos, una para estudio histopatológico en formol y otra en solución salina para realizar PCR y cultivo para TBC, y con esto se podría disminuir el retraso diagnóstico de probables lesiones por TBC nasofaríngea primaria o secundaria.

REFERENCIAS

1. Mora H. La tuberculosis y la práctica odontológica. Int J Dent Sc. 2005; 7: 30-40.

2. Cobos-Aguilar H, Pérez-Cortés P, Benavides-Caballero TJ, Vázquez-Guerrero A, Arteaga-Chávez B, Cepeda-Corona A, et al. Resúmenes clínicos problematizados para el aprendizaje de la clínica. Rev Med Inst Mex Seguro Soc. 2009; 47(2): 157-64.

3. World Health Organization. WHO. Global Tuberculosis Report 2017 [Internet]. Geneva: World Health; 2017.

4. Castellanos-Suárez JL, Díaz-Guzmán LM, Gay-Zárate, Mosqueda-Taylor A. Enfermedades Infecciosas. En: Castellanos-Suárez JL, editor. Medicina en odontología. Manejo dental de pacientes con enfermedades sistémicas. 3a ed. México: Manual Moderno; 2015. p. 55-90.

5. Secretaría de Salud. Prevención y Control de la Tuberculosis 2013-2018 [Internet]. México: Programa Sectorial de Salud; 2014. 

6. Wilches-Luna EC, Hernández NL, Hernández OM, Pérez-Vélez CM. Conocimientos, actitudes, prácticas y educación sobre tuberculosis en estudiantes de una facultad de salud. Rev. salud pública. 2016; 18(1): 129-41.

7. Secretaría de Salud. Boletín Epidemiológico. Sistema Nacional de Vigilancia Emidemiológica. Notificación Semanal Casos Nuevos de Enfermedades [Internet]. 2017; 34(1-16).

8. Bansal R, Jain A, Mittal S. Orofacial tuberculosis: Clinical manifestations, diagnosis and management. J Family Med Prim Care. 2015; 4(3): 335-41.

9. Srivanitchapoom C, Sittitrai P. Nasopharyngeal Tuberculosis: Epidemiology, Mechanism of Infection, Clinical Manifestations, and Management. Int J Otolaryngol. 2016; 2016: 4817429.

10. Pang P, Duan W, Liu S, Bai S, Ma Y, Li R, et al. Clinical study of tuberculosis in the head and neck region – 11 years’ experience and a review of the literature. Emerg Microbes Infect. 2018; 7(1): 4.

11. Rodríguez DJC. Tuberculosis latente. Rev. chil. enferm. respir. 2012; 28(1): 61-8.

12. Ramírez-Lapausa M, Menéndez-Saldaña A, Noguerado-Asensio A. Tuberculosis extrapulmonar, una revisión. Rev Esp Sanid Penit. 2015; 17: 3-11.

13. Krawiecka E, Szponar E. Tuberculosis of the oral cavity: an uncommon but still a live issue. Postepy Dermatol Alergol. 2015; 32(4): 302-6.

14. Andrade NN, Mhatre TS. Orofacial tuberculosis – A 16-year experience with 46 cases. J Oral Maxillofac Surg. 2012; 70(1): 12-22.

15. Nanda KD, Mehta A, Marwaha M, Kalra M, Nanda J. A disguised tuberculosis in oral buccal mucosa. Dent Res J. 2011; 8(3): 154-9.

16. Sansare K, Gupta A, Khanna V, Karjodkar F. Case Report: Oral tuberculosis: unusual radiographic findings. Dentomaxillofac Radiol. 2011; 40(4): 251-6.

17. Peralta-Fernández G. Tuberculosis cabeza y cuello. Acta otorrinolaringol. 2009; 60(1): 59-65.

18. Rodríguez-Valero M, Bravo-Escobar GA, Castillo-Ventura B, González-Sánchez F, González-Olvera SI, Prado-Calleros HM, et al. Manifestaciones de micobacterias en cabeza y cuello: revisión de 10 años. An Med (Mex). 2014; 59(2): 104-10.

19. Suárez-Sánchez MJ, Quiros-Alpízar JL, Jiménez-Montero E, Salazar-Sánchez L. Diagnóstico Molecular de Mycobacterium Tuberculosis en cortes histológicos embebidos en parafina: investigación exploratoria. Rev Méd Costa Rica. 2010; 4(1): 68-78.

20. Monga S, Malik JN, Jan S, Bahadur S, Jetley S, Kaur H. Clinical study of extrapulmonary head and neck tuberculosis in an urban setting. Acta Otorhinolaryngol Ital. 2017 Dec; 37(6): 493-9.

21. Nakao Y, Shibata R, Murohara T, Tanigawa T. Primary nasopharyngeal tuberculosis: a case report. BMC Infect Dis. 2016; 16(121): 1-3.

22. Azadi A, Motallebirad T, Ghaffari K, Shojaei H. Mycobacterium and Tuberculosis. Open Microbiol J. 2018; 12: 41-58.

23. Agarwal R, Gupta L, Singh M, Yashaswini N, Saxena A, Khurana N, Chaudhary D.Primary Laryngeal Tuberculosis: A Series of 15 cases. Head Neck Pathol. 2019; 13(3): 339-43.

24. Kakisi OK, Kechagia AS, Kakisis IK, Rafailidis PI, Falagas ME. Tuberculosis of the oral cavity: a systematic review. Eur J Oral Sci. 2010; 118(2): 103-9.

25. Patil C, Kharat-Patil R, Deshmukh P, Biswas J, John B. Primary tuberculosis of nasopharynx (adenoid)- a rare presentation. Asian Pac J Trop Med. 2013; 6(3): 246-8.

26. Dinnes J, Deeks J, Kunst H, Gibson A, Cummins E, Waugh N, et al. A systematic review of a rapid diagnostic tests for the detection of tuberculosis infection. Health Technol Asses. 2007; 11(3): 1-6.

27. Wang CC, Lin CC, Wang CP, Liu SA, Jiang RS. Laryngeal tuberculosis: a review of 26 cases. Otolaryngol Head Neck Surg. 2007; 137(4): 582-8.

28. Mishra RK, Prasad BK, Mathew S. Nasopharyngeal tuberculosis. Med J Armed Forces India. 2015; 71(Suppl 2): S586-9.

29. Min HJ, Kim CH. Nasal or Nasopharyngeal Tuberculosis Should be Considered in the Initial Diagnosis of Sino-Nasal Inflammatory Diseases. Yonsei Med J. 2017; 58(2): 471-2.

30. EI Kettani NEC, El Hassani MR, Chakir N, Jiddane M. Primary laryngeal tuberculosis mimicking laryngeal carcinoma: CT scan features. Indian J Radiol Imaging. 2010; 20(1): 11-2.

31. Nishiike S, Nagai M, Nakagawa A, Konishi M, Sakata Y, Aihara T, Harada T. Laryngeal tuberculosis following laryngeal carcinoma. J Laryngol Otol. 2006; 120(2): 151-3.

32. Loddenkemper R, Brönnecke M, Castell S, Diel R. Tuberculosis and tobacco smoking. Pneumologie. 2016; 70(1): 17-22.

33. Perriot J, Underner M, Peiffer G. Tobacco smoking and stopping smoking interventions in patients with TB. Rev Pneumol Clin. 2018; 74(6): 391-9.

34. Kaur R, Kachroo K, Sharma JK, Vatturi SM, Dang A. Diagnostic Accuracy of Xpert Test in Tuberculosis Detection: A Systematic Review and Meta-analysis. J Glob Infect Dis. 2016; 8(1): 32-40.

Logotipo de Revista de Ciencias Clínicas de la UAM
NÚMERO | ISSUE

Vol. 22, Núm. 2 • jul-dic 2021. p. 66-73.

ISSNe:

En trámite

Autores | Authors

Picture of Nubia Yadira Prado-Bernal
Nubia Yadira Prado-Bernal

Profesora investigadora del Departamento de Atención a la Salud.
Universidad Autónoma Metropolitana, Xochimilco.
CDMX, México.

Picture of Jenny Alexandra Prado-Bernal
Jenny Alexandra Prado-Bernal

Otorrinolaringología y Cirugía de Cabeza y Cuello. Consulta privada.

Picture of Celeste Sarai Hernández-Báez
Celeste Sarai Hernández-Báez

Estomatóloga. Universidad Autónoma Metropolitana, Xochimilco
CDMX, México.

Correspondencia | Corresponding Author

Nubia Yadira Prado Bernal.

Departamento de Atención a la Salud.
Edificio H 3er piso, Universidad Autónoma Metropolitana, Unidad Xochimilco. Calz. del Hueso 1100, Col. Villa Quietud, Alcaldía Coyoacán, C.P. 04960, CDMX. México.

Correo electrónico: nypradob@gmail.com

 

recibido | received

octubre 30, 2020

Aceptado | accepted

julio 30, 2021

DOI

doi: en trámite

https://doi.org/ en trámite

Prado Bernal NY y cols. Úlcera oral como manifestación de tuberculosis. Rev Cienc Clín 2021; 22(2): 66-73

Revista de Ciencias Clínicas. Vol. 23, Núm. 1-2, enero-diciembre 2022, es una publicación semestral de investigación científica, editada por el Área de Investigación en Ciencias Clínicas del Departamento de Atención a la Salud, de la Universidad Autónoma Metropolitana, Unidad XochimilcoCalzada del Hueso Núm. 1100, Edificio H-101, Col. Villa Quietud, Alcaldía Coyoacán. CDMX, México. C.P. 04960. Tel. directo: (01-55) 5483-7242, https://edicionesberit.com. Editor responsable: M. en C. Adalberto Mosqueda Taylor. Reserva de Derechos al Uso Exclusivo del Título 04-2000-032717334000-102, ISSNe: en trámite. ambos otorgados por el Instituto Nacional del Derecho de Autor.

Responsable de la última actualización de este Número, Unidad de Informática Ediciones Berit FGV; tepetates 29 bis. Col. Sta. Isabel Tola. C.P. 07010. CDMX, México. Tels.: 55-3026-8672, 55-3900-4614 y 55-5759-5164. Correo electrónico: edicionesberit@gmail.com. Fecha de la última modificación 31 de diciembre de 2022.

Queda estrictamente prohibida la reproducción total o parcial de los contenidos e imágenes de la publicación sin previa autorización de la Revista de Ciencias Clínicas.

Todos los derechos reservados Universidad Autónoma Metropolitana - UNIDAD XOCHIMILCO, México 2022 REVISTA DE CIENCIAS CLÍNICAS®