+52 55 5264 6858
Atención e Informes AMOP
www.amop.org.mx
Sitio oficial de la Academia Mexicana de Odontología Pediátrica, A.C.
Atención e Informes AMOP
Sitio oficial de la Academia Mexicana de Odontología Pediátrica, A.C.
El desarrollo psicomotor (DSM) es un proceso evolutivo e integral, en el cual las personas van dominando progresivamente habilidades y respuestas más complejas. En los pacientes con retraso en el desarrollo, la maduración de los órganos en la gestación se ve afectada, por lo que su sistema inmune está comprometido en edades tempranas que, en combinación con la lenta adquisición de los hitos del desarrollo psicomotor, presentan una higiene oral pobre. El defecto de la estructura dental del esmalte es llamado hipoplasia, que presenta un espesor reducido, localizado y puede afectar únicamente una dentición, comprometiendo la estética, la sensibilidad y la susceptibilidad a la caries. Se considera biomaterial a un producto que tiene la capacidad de tener interacción con un sistema biológico y producir una respuesta específica en el huésped. Los requisitos de un biomaterial son: biocompatibles, insolubilidad, adhesión, sellado, estético y anticariogénico, no tóxico, ni cancerígeno.
Psychomotor development (PMD) is an evolutionary and comprehensive process, through which people progressively master increasingly complex skills and responses. In patients with delayed development, the maturation of the organs during pregnancy is affected, so their immune system is compromised from an early age that, in combination with the slow acquisition of psychomotor development, will present poor oral hygiene characteristics. The defect in tooth structure that involves the enamel surface is called hypoplasia, which has a reduced thickness, which is localized and can only affect one dentition. This defect compromises aesthetics, sensitivity and susceptibility to caries. A biomaterial is any product that can interact with a biological system in addition to producing a specific response in the host. Among the requirements that a biomaterial must present are, be biocompatible, insolubility, to have adhesion and sealing properties, to be aesthetic and anticariogenic, not toxic or carcinogenic.
Carl Wernicke fue el primero que utilizó el término desarrollo psicomotor (DSM), el cual es un proceso evolutivo e integral mediante el que las personas van dominando progresivamente habilidades y respuestas más complejas.1,2
El diagnóstico se realiza a través de pruebas o test a partir de los tres a los cinco años de edad, donde puede medirse su capacidad intelectual. Existen dos tipos de retraso psicomotor: el retraso global, que presenta un desarrollo enlentecido o anormal generalizado en todas las áreas del desarrollo; y el retraso parcial, que señala de manera particular a un área específica como la afectada.3,4
Los defectos del desarrollo del esmalte se definen como desórdenes en la matriz de los tejidos duros y la mineralización producida durante la odontogénesis.5
La etiología se atribuye a los defectos o alteraciones en el metabolismo del calcio durante los primeros días de vida y a una menor acumulación de calcio y fósforo; también es causada como resultado de un trauma local. Dentro de las alteraciones en el metabolismo se presentan factores ambientales, los que afectan en el período de la amelogénesis, entre ellos se encuentran algunas enfermedades como sífilis, rubéola, alteraciones cromosómicas, epilepsia, alergias congénitas, procesos febriles, déficit vitaminoso, neuropatías y alteraciones medicamentosas.6
La hipoplasia se define como un defecto cuantitativo debido a la falta de producción en algunas zonas de la matriz del esmalte, se puede presentar de manera focal afectando un solo diente o, ya sea de manera generalizada, a todos los dientes.7 Existen dos tipos de defectos en el desarrollo del esmalte, las hipoplasias con ausencia del esmalte o un espesor reducido; y las opacidades, donde la afección se da en la mineralización del tejido presentando un espesor normal del esmalte.
El proceso natural donde existe una restauración en lesiones que han sido producidas por la existencia de un desequilibrio entre la perdida de minerales y la recuperación de estos se llama remineralización.8 Las técnicas de remineralización están centradas en tratar de revertir la enfermedad en sus procesos iniciales como el de la mancha blanca, constituyendo una de las opciones terapéuticas de prevención frente a la caries.9 Para establecer un medio bucal óptimo antes, durante y después del tratamiento con caries activas y para el control de la placa, se pueden utilizar alternadamente los barnices de clorhexidina (CHX) y flúor, siendo un tratamiento importante en el mantenimiento y restauración de la salud bucal, a este procedimiento se le conoce como terapia de choque.10
Biomateriales
Un biomaterial es un material creado para integrarse perfectamente a un sistema biológico, además de producir una respuesta específica en el huésped. Compuestos por metales, cerámicas, aleaciones metálicas, polímeros sintéticos, naturales, acero, vidrios y tejidos biológicos modificados.
Materiales bioactivos: Cention N
Material estético para restauraciones directas, pertenece a los alkasite, que son un subgrupo de los materiales de resina compuesta.11 Se constituye de dimetacrilatos e iniciadores, y el polvo tiene rellenos de vidrio, iniciadores y pigmentos. Presenta una alta densidad y alto grado de polimerización en toda la restauración por contener monómeros de metacrilato reticulables; se mezcla con un iniciador de autocurado estable, tiene un relleno especial reductor que minimiza la tensión de contracción.
El relleno alcalino aumenta la liberación de iones hidróxido y regula el pH durante los ataques de ácido, libera iones de fluoruro y calcio para la remineralización, siendo de fácil manejo, no requiere el uso de un primer, ni fotocurado. Dentro de sus ventajas es fuerte y estético.12
Resina convencional: 3MTM Z350
En 2002, 3MTM lanzó al mercado 3MTM Filtek™ supreme restaurador universal. Este fue el primer producto que empleó la nanotecnología con el fin de brindar la estética del microrrelleno y la fuerza de las resinas híbridas. Todas las partículas de relleno de esta novedosa resina son nanopartículas con una tecnología que ofrece un pulido más duradero, una excelente manipulación y un desgaste similar al del esmalte.13
Se presentó a la clínica multidisciplinaria de odontopediatría en la Universidad Autónoma de Ciudad Juárez, paciente femenino de cuatro años de edad, se elaboró la historia clínica en la cual la madre refirió como motivo de consulta que “mi hija presenta dientes quebrados”.
A la anamnesis, la madre refirió que la menor fue diagnosticada con retraso del DSM al nacimiento, por lo que el sistema inmune se encontraba debilitado y fue necesario que la menor comenzara a llevar terapia antibiótica a muy temprana edad. La madre también informó que cuando comenzaron a erupcionar los dientes temporales estos ya tenían defectos sobre la superficie como manchas amarillentas, estaban frágiles y porosos.
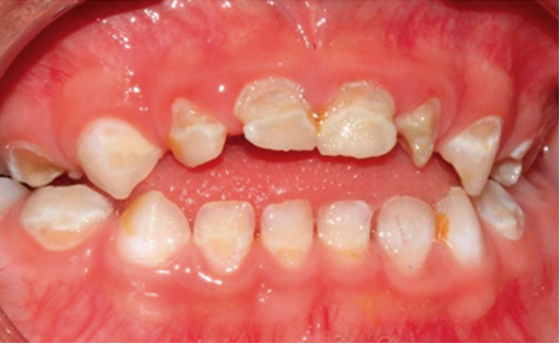
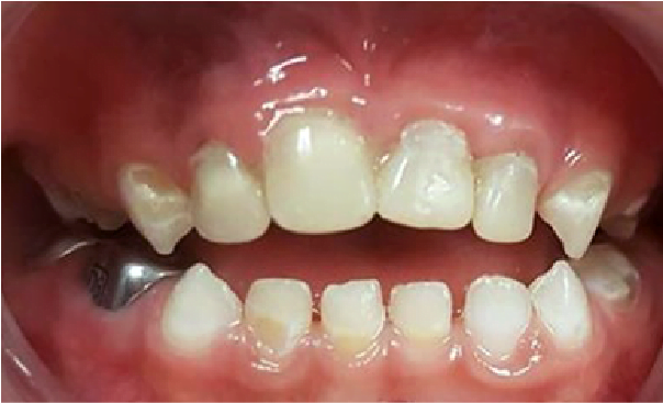
Se llevó a cabo la exploración extraoral y se logró apreciar una ligera asimetría facial, en las fotografías de perfil se ve la implantación de la oreja por debajo de lo normal (figura 1). Al hacer la exploración intraoral se encontraron sobre la superficie de todos los dientes manchas de color amarillento con descalcificaciones y lesiones cavitadas, al complementarse con la historia clínica y antecedentes patológicos, se determinó el diagnóstico de hipoplasia del esmalte generalizada (figura 2).

Figura 1. Examen clínico extraoral.
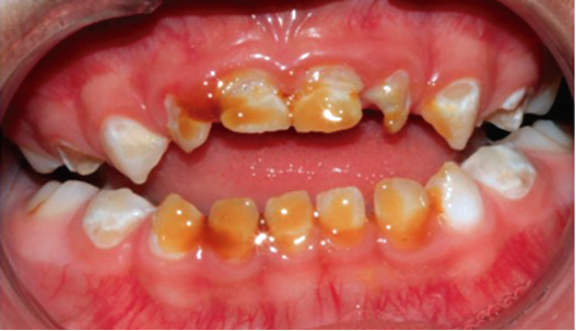
Antes de comenzar con el tratamiento se le realizó una tomografía axial computarizada en la que se observaron presentes y completos los órganos dentarios de ambas denticiones, apreciándose lesiones cavitadas y espesor reducido del esmalte (figura 3). Se comenzó la terapia de choque (uso de barnices alternados de CHX y flúor) para detener las lesiones cariosas incipientes y remineralizar las superficies dentales antes de su restauración. En la primera cita se comenzó aislando relativamente los dientes y se secaron con ayuda de gasas, se colocó el barniz de flúor (DuraShield®) sobre todas las superficies dentarias a manera de brochazo horizontal con la finalidad de impregnar bien este; se mantuvo el aislamiento relativo por al menos tres minutos y se dejó que el paciente se retirara sin enjuagarse y con indicaciones de no lavarse los dientes hasta el día siguiente y hacer un cambio de cepillo dental; se habló con los padres para moderar la ingesta de carbohidratos y alimentos con alto contenido de azúcar (figura 4).

Figura 2. Examen clínico extraoral.

Figura 3.Tomografía axial computarizada.
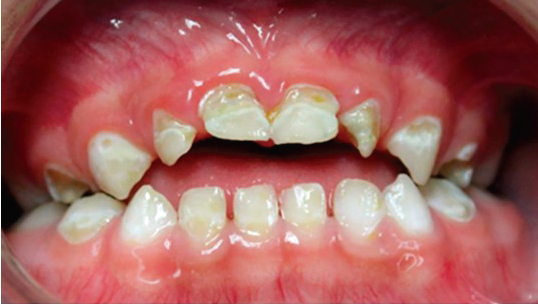
En la segunda cita, una semana después de la aplicación del barniz de flúor, se continuó con el mismo protocolo para colocar ahora el barniz de CHX (Cervitec® F), en esta semana se le indicó a los padres de la paciente que cambiaran de cepillo nuevamente y que todos los días efectuaran la higiene bucal con pasta dental sin flúor, ya que este podría inhibir el efecto de la CHX; otra de las indicaciones que se les dio fue colocar enjuague de CHX sobre las superficies dentarias con un cotonete después del cepillado dental en casa. Así por cuatro semanas alternando el barniz de CHX y flúor se logró la remineralización adecuada para continuar con el tratamiento restaurativo, las superficies dentarias se apreciaron con brillo natural, a la palpación con sonda periodontal punta roma ya no se sintieron superficies rugosas y frágiles (figura 5). Se procedió en las citas siguientes a llevar a cabo los tratamientos pulpares (pulpotomías) con sus coronas de acero cromo de los molares temporales; y el molar 75 se restauró con material bioactivo (Equia Forte) alternando el orden de los cuadrantes en cada cita para así mantener la conducta de la paciente, la cual en la escala de Frankl se definió como positiva (figura 6). Al restaurar el segmento anterosuperior se realizaron las pulpectomías de los dientes 51, 52, 61 y 62 para reconstruir el muñón (Equia Forte) y posteriormente se confeccionaron las coronas de celuloide de los órganos dentarios 51 y 52 (Cention) y los 61 y 62 con resina convencional (figura 7).

Figura 4. Vista intraoral durante el procedimiento de la aplicación de barniz de flúor.

Figura 5. Vista intraoral durante el procedimiento de la aplicación de barniz de flúor.

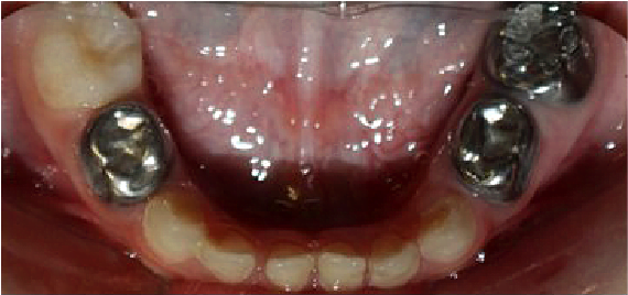
Figura 6. Vista oclusal de la arcada inferior con todos los órganos dentales restaurados.

Figura 7. Vista oclusal de la arcada inferior con todos los órganos dentales restaurados.
Los defectos del esmalte son problemas comunes dentro de la población infantil y favorecen la formación de caries dental, por lo que es importante que el odontólogo conozca los factores de riesgo que presentan los pacientes con defectos en el esmalte y la gran susceptibilidad a la caries que tienen, al igual que saber diferenciar la hipoplasia del esmalte de las demás patologías relacionadas con las estructuras de los órganos dentarios y ofrecer tratamientos conservadores, estéticos y protésicos que mejoren la calidad de vida del paciente.
Por otra parte, el material bioactivo y con pH alcalino (Cention) muestra grandes ventajas al ser comparado con la resina convencional; el nuevo material restaurativo presenta menos pasos para su colocación y al no requerir el protocolo de adhesión ayuda a reducir los tiempos de trabajo y mantener la conducta del niño positiva, así como también tiene la ventaja de liberar iones de flúor y calcio para evitar futuras desmineralizaciones de los órganos dentarios restaurados, presentando una gran dureza y siendo comparado con la resistencia de una amalgama, por lo tanto, la decisión de colocarlo en el segmento anterosuperior fue para comprobar su resistencia.
Vol. 33, Núm. 2 • ene-jun 2021.
p. 49-53
2683-3123
Alumna de la Especialidad de OdontopediatríaUniversidad Autónoma de Ciudad Juárez.
Cd Juárez, Chih
Alumna de la Especialidad de Odontopediatría,Universidad Autónoma de Ciudad Juárez.
Cd Juárez, Chih
Cirujano Dentista Especialista,Universidad Autónoma de Ciudad Juárez.
Cd Juárez, Chih
Cirujano Dentista Especialista,Universidad Autónoma de Ciudad Juárez.
Cd Juárez, Chih
Cirujano Dentista Especialista, Coordinadora del Posgrado de Odontopediatría,Universidad Autónoma de Ciudad Juárez.
Cd Juárez, Chih
Cirujano Dentista Especialista,Universidad Autónoma de Ciudad Juárez.
Cd Juárez, Chih
Subdirector de Universidad Saludable,
Universidad Autónoma de Ciudad Juárez.
Cd Juárez, Chih
agosto 22, 2021
noviembre 14, 2021
doi: en trámite
https://doi.org/ en trámite
González-González A y cols. Material bioactivo en paciente con retraso psicomotor. Rev AMOP 2022; 34(1): 49-53.
Revista de la Academia Mexicana de Odontología Pediátrica Año 34, Vol. 34, Núm. 1, enero-junio 2022, es una publicación semestral, editada y órgano oficial de comunicación científica de la Academia Mexicana de Odontología Pediátrica, A.C., calle Baja California # 210, Desp. 503, Colonia Roma Sur, Alcaldía Cuauhtémoc. Ciudad de México, C.P. 06760, Tel. (55) 5264-6858, https://www.amop.org.mx, amop@live.com.mx, informes@amop.org.mx, Editor responsable: Mtro. Enrique E. Huitzil Muñoz, iconomania@gmail.com Reserva de Derechos al Uso Exclusivo, género publicaciones periódicas 04-2107-120619451300-203, ISSNe 2683-3123, ambos otorgados por el Instituto Nacional de Derecho de Autor.
Los artículos y fotografías son responsabilidad exclusiva de los autores. Los derechos de autor están reservados conforme a la Ley y a los convenios de los países signatarios de las Convenciones Panamericana e Internacional de Derechos de Autor. La reproducción parcial o total de este número solo podrá hacerse previa autorización escrita del Editor de la revista. Toda correspondencia con relación a la revista; suscripciones y envío de material deberá ser dirigida al Editor: Mtro. Enrique Huitzil. iconomania@gmail.com. Publicación registrada conforme a la ley. Responsable de la publicación Ediciones Berit FGV, S.A. de C.V. Oficinas: Tepetates 29 Bis. Col. Sta. Isabel Tola, C.P. 07010; CDMX., México. Tel: 555759-5164, edicionesberit@gmail.com. Última actualización: 22 de febrero de 2022. Incluida a texto completo en IMBIOMED y edicionesberit.com e ingresada en las siguientes bases de datos: LATINDEX y Cengage-Learning.