+52 55 5264 6858
Atención e Informes AMOP
www.amop.org.mx
Sitio oficial de la Academia Mexicana de Odontología Pediátrica, A.C.
Atención e Informes AMOP
Sitio oficial de la Academia Mexicana de Odontología Pediátrica, A.C.
Introducción: hasta hoy, el manejo de primeros molares permanentes afectados de manera severa con hipomineralización molar-incisivo (HMI), ha tenido un enfoque que busca únicamente la restitución de la estructura dental perdida. En la pesquisa de una alternativa innovadora, donde se obtengan mejores resultados con una visión a largo plazo, se presenta con este caso clínico, el manejo de guías de erupción mediante una técnica de desgaste selectivo y extracción del primer molar permanente afectado para el remplazo con el segundo molar permanente. Caso clínico: paciente de 10 años de edad, con HMI severa de los cuatro primeros molares permanentes. Inicialmente se hemiseccionaron los molares inferiores, con la eliminación de los restos radiculares mesiales de los inferiores. Posteriormente, algunos meses después de la eliminación de los restos radiculares distales y la extracción de los molares superiores, se dio seguimiento clínico y radiográfico durante algunos meses hasta observar un deslizamiento (preeruptivo) mesial fisiológico en el cuerpo del segundo molar permanente, hasta contactar la porción distal del segundo premolar. Conclusión: el desgaste selectivo y la extracción de los primeros molares permanentes con HMI severa es una excelente alternativa de tratamiento para pacientes en crecimiento.
Palabras clave:
hipomineralización molar-incisivo, guías de erupción, hemisección, extracción de molares permanentes, deslizamiento mesial fisiológico.
Introduction: Until now, the management of severely affected first permanent molars with molar-incisor hypomineralization (MIH), has had an approach that seeks only the restitution of the lost tooth structure. In the search for an innovative alternative, where better results was obtained with a long term-vision, is presented with this clinical case, the management of eruption guides using of a selective wear technique and extraction of the first permanent molar affected for replacement with the second permanent molar. Clinical case: 12 year old patient with severe MIH of the four first permanent molars. Initially the lower molars were hemisected, with removal of the mesial root remains of the lower molars. Subsequently, a few months later, by removal of the distal root debris and extraction of the upper molars, clinical and radiographic follow-up was given for some months until a physiologic mesial (pre-eruptive) sliding was observed in the body of the second permanent molar, until contacting the distal portion of the second premolar. Conclusion: Selective wear and extraction of permanent first molars with severe MIH is an excellent treatment alternative for growing patients.
Key words:
molar-incisor hypomineralization, rash guides, hemisection, extraction of permanent molars, physiological mesial sliding.
El tratamiento clínico de hipomineralización incisivo-molar (HMI) es un desafío tanto para el dentista como para el niño afectado. Para el odontólogo es una de las afecciones más graves en el campo, dado que la estructura de los primeros molares permanentes en erupción sufre un rápido deterioro, con el consiguiente comportamiento impredecible y el desarrollo de lesiones nocivas con el tiempo.
Establecer un tratamiento predecible con un pronóstico a corto y largo plazo requiere un plan de tratamiento completo y rápido basado en un diagnóstico clínico.
El tratamiento de desgaste selectivo y extracción de segundos molares primarios en la ausencia de segundos premolares propuesto por Valencia et al.1 puede aplicarse a casos de primeros molares permanentes con HMI severa, con la finalidad de brindar al paciente un tratamiento de bajo costo que resuelva los problemas coadyuvantes de este defecto estructural y que permita un resultado definitivo.
La descripción de esta técnica busca mostrar una opción viable de tratamiento que mejore el potencial de un crecimiento y desarrollo óptimo que presentan los pacientes en este grupo de edad.
Paciente masculino de 10 años de edad, con historia de bronconeumonía al año de nacido, que se presentó a la clínica de posgrado de la Universidad Tecnológica de México, con dolor crónico, pérdida posteruptiva de esmalte, asociada a HMI severa en los cuatro primeros molares permanentes, e hipomineralización molar decidua en segundos molares inferiores. (Figuras 1-3).
Tres de los molares afectados presentaron vitalidad sin ningún tratamiento pulpar previo y uno con lesión apical. Dada la severidad del caso y las diferentes alternativas de tratamiento, cuyo pronóstico fue reservado, se propuso llevar a cabo el tratamiento de desgaste selectivo que culmina con la extracción y sustitución de los molares afectados por segundos molares sanos.
Descripción del procedimiento
Previa obtención del consentimiento del tutor y habiendo explicado en detalle el protocolo, las posibles molestias, riesgos, así como los beneficios de este procedimiento, se aplicó anestesia local con el bloqueo del nervio dentario inferior derecho e izquierdo utilizando 1.8 ml de articaína al 4% con 1:100,000 de epinefrina en cada lado. El procedimiento para realizar la hemisección de los primeros molares permanentes inferiores fue utilizando una fresa quirúrgica Zekrya® de 23 mm Carburo de Tungsteno (FG-Maillefer) de alta velocidad, una vez hecha la hemisección, se luxó y extrajo el fragmento distal en ambos molares inferiores (figura 4), haciendo esto por conveniencia, cuando la técnica original es la eliminación del fragmento distal. (Figura 5).
La hemostasis se logró aplicando presión en la zona del procedimiento. No se efectuó ninguna terapia pulpar ni se prescribió medicación posoperatoria, pero se indicaron algunas instrucciones postquirúrgicas.
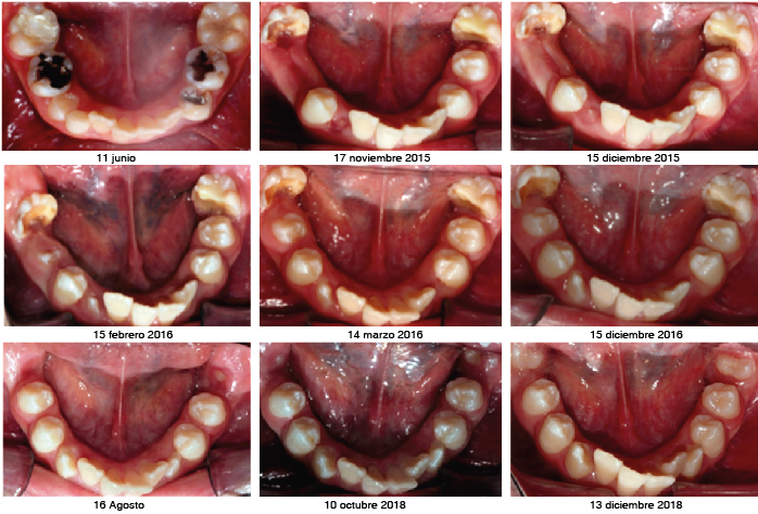
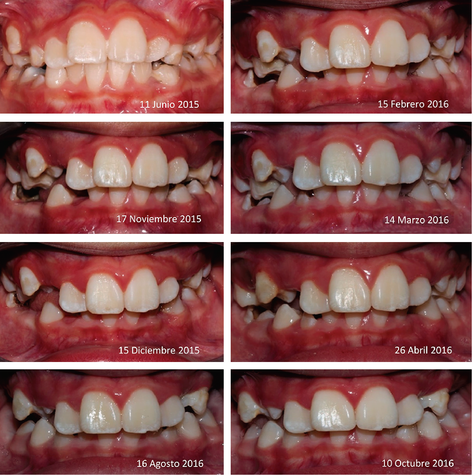
El paciente acudió a revisiones bimestralmente a lo largo de ocho meses, durante las cuales se llevó a cabo una evaluación clínica y radiográfica, con lo que se observó el movimiento de deslizamiento distal de caninos y premolares en cuerpo.
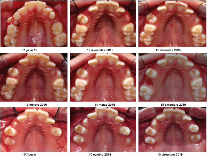
En el octavo mes, una vez que el espacio se cerró y dio inició la erupción de los caninos y premolares inferiores, se procedió a extraer los fragmentos distales remanentes, al igual que la extracción de los primeros molares superiores también afectados severamente por la condición. (Figuras 5-9).
Aquellos remanentes radiculares se mantuvieron, algunos de ellos sin tratamiento, donde la pulpa permaneció asintomática y vital como lo mostró el artículo de Valencia R. et al.1 en dientes primarios y ahora con molares permanentes. Incluso aquellos que tenían una gran sensibilidad, con la hemisección dejaron de doler. (Figura 10).
Después de finalizar el tratamiento de guías de erupción y obteniendo un 80% del cierre de espacio, con el tiempo que transcurrió para el inicio de la ortodoncia se evidenció hasta el 100% del cierre (Figuras 11-13). Ya con los primeros arcos se ve la nivelación de los arcos dejando una relación canina y molar clase I (con los segundos molares). (Figura 14).
Figura 1. Fotografías extraorales del paciente. A) Frente con sonrisa y B) perfil, en la que se advierte una incompatibilidad labial y ligera protrusión bimaxilar.
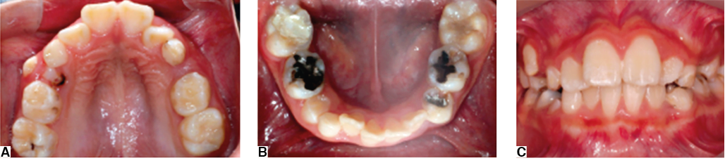
Figura 2. Fotografías intraorales. A) Oclusal maxilar con discrepancia dentoalveolar. B) Oclusal mandibular (discrepancia de 15 mm). C) Frente con línea media coincidente, SMV 5% y ligera protrusión dental.
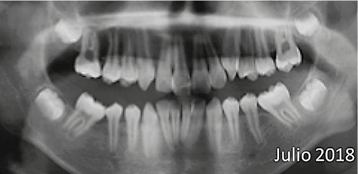
Figura 3. Radiografía panorámica al inicio del tratamiento que evidencia la destrucción de los primeros molares permanentes y la gran discrepancia dentoalveolar de los maxilares.
Oclusal mandibular (discrepancia de 15 mm). C) Frente con línea media coincidente, SMV 5% y ligera protrusión dental.
Figura 4. A) Técnica de hemisección del primer molar permanente realizada con B) fresa quirúrgica de 23 mm Carburo de Tungsteno de alta velocidad. C) Eliminación del fragmento radicular mesial. D) Resto radicular.
Figura 5. Técnica original de desgaste con extracción de primeros molares permanentes con HMI severa. 1) Imagen inicial. 2) Hemisección y eliminación del fragmento distal. 3) Deslizamiento del segundo molar permanente. 4) Eliminación del fragmento mesial. 5) Deslizamiento mesial y remplazo completo del primer molar por el segundo molar permanente.

Figura 6. Fotografías intraorales del aro mandibular de la técnica de desgaste selectivo y extracción de primeros molares permanentes con HMI severa. Iniciales (11-VI-2015) y finales antes del inicio de la ortodoncia (13-XII-2018).

Figura 7. Fotografías intraorales del aro maxilar con la extracción de primeros molares permanentes con HMI severa. Iniciales (11-VI-2015) y finales antes del inicio de la ortodoncia (13-XII-2018).

Figura 8. Fotografías intraorales de frente, en las que observa que se mantiene la línea media y se aumenta la sobremordida vertical ante la técnica de desgaste selectivo y extracción de primeros molares permanentes con HMI severa. Iniciales (11-VI-2015) y antes de la exodoncia de los primeros molares superiores (13-X-2016).

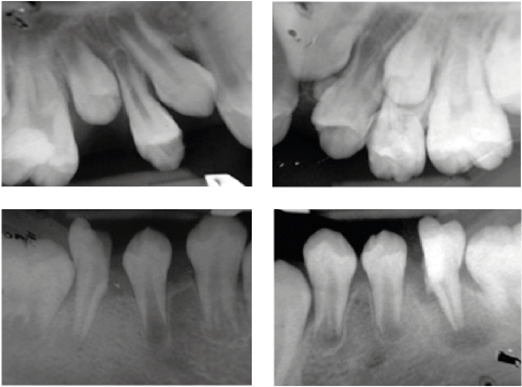
Figura 9. Radiografías periapicales superiores e inferiores en las que se evidencia el deslizamiento distal de caninos y premolares inferiores después de la eliminación de los fragmentos mesiales. Además, liberación de espacios en el arco superior después de la exodoncia de los primeros molares permanentes con HMI severa.
Figura 10. Fotografías de microscopio óptico del resto radicular distal, la zona del corte en la parte superior izquierda muestra un área mineralizada; en la imagen amplificada se aprecia en la parte superior, dentina sana seguida de predentina y una pulpa con un lecho odontoblástico sano (se nota un desprendimiento del lecho odontoblástico como defecto en la técnica de la preparación de la muestra).
Figura 11. A) Fotografía extraoral de frente con sonrisa y B) lateral del paciente al finalizar el tratamiento.
Figura 12. Fotografías de A) Intraoral de frente al finalizar la secuencia de desgastes controlados con extracciones. B) Oclusal maxilar. C) Oclusal del arco mandibular. Se nota el remplazo del primer molar con HMI por el segundo molar, dejando la finalización del tratamiento para el ortodoncista.
Figura 13. Radiografía panorámica al inicio del tratamiento ortodóntico donde se advierte el movimiento de mesialización de los segundos molares que han logrado contactar la parte distal del segundo premolar.
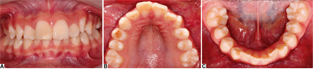
Figura 14. Fotografías intraorales de A) Frente donde se está buscando nivelar y rotar estructuras dentales. B) Arco oclusal maxilar con ligera disarmonía y leve rotación del canino superior izquierdo. C) Arco mandibular con una excelente posición del segundo molar permanente.
El desgaste selectivo y extracción de los primeros molares permanentes con HMI severa es una alternativa de tratamiento que proporciona resultados clínicos favorables para el paciente, elimina la sensibilidad dental severa, permite el cierre de espacios entre el segundo molar permanente y el segundo premolar, permitiendo un patrón de erupción favorable. Esta técnica es una alternativa de tratamiento definitiva, no restaurativa, que devuelve al paciente funcionalidad, evita signos y síntomas (hipersensibilidad, mala higiene, progresión de lesiones de caries asociadas a este defecto estructural de esmalte); además de generar una guía de erupción para el segundo molar permanente en pacientes con potencial de crecimiento y desarrollo. De esta manera se evita que en un futuro al fracasar estos primeros molares, se requiriera de procedimientos protésicos más invasivos.
Según el Royal Collage of Surgeons,2 cuando es inminente la necesidad de extracción del primer molar permanente, el momento idóneo para llevar a cabo la extracción de estos molares es alrededor de los nueve años de edad. Esto con base en el inicio de la formación de la furca del segundo molar permanente, dado que sabemos que en ese momento es posible el deslizamiento en cuerpo de este molar hacia el sitio de la extracción, logrando así el cierre de espacio, requiriendo posteriormente un tratamiento ortodóntico menor.
De acuerdo con la publicación de Valencia et al,1 se efectúa la hemisección del primer molar permanente con HMI severo y la extracción de solo uno de los fragmentos, con la finalidad de conservar el ancho buco-lingual del proceso alveolar, para mantener de esa manera las corticales y permitir el deslizamiento mesial y emergencia en boca con un mejor patrón de erupción del segundo molar permanente.
Las decisiones tardías (después de los 12 años de edad) sobre la extracción o las hemisecciones, aumentan la probabilidad de obtener resultados promedio o deficientes. Sin embargo, aun después de estas edades se puede hacer el mismo procedimiento aunado a movimientos ortodónticos, con el mantenimiento de la cortical buco-lingual.
El beneficio de efectuar el tratamiento de hemisecciones y extracción a una edad temprana, radica en la posibilidad de sustituir un molar severamente afectado con un pronóstico pobre, que requerirá tratamientos complejos y costosos, por un segundo molar permanente sano. Asimismo, se tiene que considerar que, si el paciente presenta terceros molares, estos también se mesializarán en cuerpo ocupando el lugar de los segundos molares permanentes.
Cabe mencionar que aun cuando la Dra. Jälevik y col.3 en un estudio muestran que en un porcentaje de los casos tienen un cierre espontáneo con solo hacer la extracción, la propuesta aquí presentada favorece y garantiza la mesialización del segundo molar evitando el colapso del hueso cortical.
Esta técnica se contrapone a los mitos y creencias con respecto a la importancia que se ha dado al primer molar permanente como llave de la oclusión y pieza clave para un adecuado desarrollo dental.4
En este paciente se observaron los siguientes beneficios al realizar el tratamiento:
a. La ausencia de sensibilidad postoperatoria aun cuando presentaba dolor por sensibilidad crónica o inflamación pulpar previo a las hemisecciones.
b. Como resultado del tratamiento quirúrgico con hemisección del primer molar permanente con HMI severa se evidencia un deslizamiento y cierre de espacios entre el segundo molar permanente y el segundo premolar, ya que a través de este procedimiento se ofrece una guía de erupción.
Se mantienen las corticales buco-linguales evitando el colapso que puede resultar de la extracción del molar en una sola intervención.
c. Se le brindó al paciente un tratamiento de bajo costo y con un pronóstico favorable, dado que se extrae un molar severamente afectado que requeriría restauraciones constantes, que eventualmente al paso de los años podría acabar perdiéndose y cuya reposición sería costosa y complicada.
d. En caso de que el paciente presente terceros molares en desarrollo, estos igualmente se mesializarían, permitiendo en muchos casos que los conserve y no sea necesaria su extracción quirúrgica por falta de espacio.
e. En este aspecto, al tomar la decisión de eliminar el fragmento mesial se liberó la discrepancia de espacio en la zona de caninos y premolares, evitando la necesidad de extraer los primeros premolares.
El presente es un reporte de un solo caso, pero abre líneas de investigación relativas a patrones de crecimiento, tipos de oclusión y otras variables que podrían influir en los resultados de esta intervención.
1. Valencia R, Sadia M. Controlled slicing in the management of congenitally missing second premolars. Am J Orthod Dentofacial Orthop. 2004; 125(5): 537-43.
2. Cobourne MT, Williams A, McMullen R. A Guideline for the Extraction of First Permanent Molars in Children. An Update of the 2009 Guidelines. Royal College of Surgeons. Faculty of Dental Surgery. 2014.
3. Jälevik. B, Möller M. Evaluation of spontaneous space closure and development of permanent dentition after extraction of hypomineralized permanent first molars. J Paediatr Dent. 2007; 17(5): 328-35.
4. Andrews LF. The six keys to normal occlusion. Am J Orthod. 1972; 62(3): 296-309.
Docente de la Especialidad de Odontología Pediátrica de la Universidad Tecnológica de México.
CDMX, México.
Docente de la materia de Odontología Pediátrica de la Universidad IntercontinentaL.
CDMX, México.
Alumna del segundo año de la Especialidad de Odontología Pediátrica de laUniversidad Tecnológica de México.
CDMX, México.
Roberto Manuel Valencia Hitte
Correo electrónico:
rmval@hotmail.com
doi: en trámite
https://doi.org/ en trámite
Valencia Hitte RM, y cols. Técnica de desgaste selectivo y extracción. 2021; 33(2): 68-75.
Revista de la Academia Mexicana de Odontología Pediátrica Año 34, Vol. 34, Núm. 1, enero-junio 2022, es una publicación semestral, editada y órgano oficial de comunicación científica de la Academia Mexicana de Odontología Pediátrica, A.C., calle Baja California # 210, Desp. 503, Colonia Roma Sur, Alcaldía Cuauhtémoc. Ciudad de México, C.P. 06760, Tel. (55) 5264-6858, https://www.amop.org.mx, amop@live.com.mx, informes@amop.org.mx, Editor responsable: Mtro. Enrique E. Huitzil Muñoz, iconomania@gmail.com Reserva de Derechos al Uso Exclusivo, género publicaciones periódicas 04-2107-120619451300-203, ISSNe 2683-3123, ambos otorgados por el Instituto Nacional de Derecho de Autor.
Los artículos y fotografías son responsabilidad exclusiva de los autores. Los derechos de autor están reservados conforme a la Ley y a los convenios de los países signatarios de las Convenciones Panamericana e Internacional de Derechos de Autor. La reproducción parcial o total de este número solo podrá hacerse previa autorización escrita del Editor de la revista. Toda correspondencia con relación a la revista; suscripciones y envío de material deberá ser dirigida al Editor: Mtro. Enrique Huitzil. iconomania@gmail.com. Publicación registrada conforme a la ley. Responsable de la publicación Ediciones Berit FGV, S.A. de C.V. Oficinas: Tepetates 29 Bis. Col. Sta. Isabel Tola, C.P. 07010; CDMX., México. Tel: 555759-5164, edicionesberit@gmail.com. Última actualización: 22 de septiembre de 2021. Incluida a texto completo en IMBIOMED y edicionesberit.com e ingresada en las siguientes bases de datos: LATINDEX y Cengage-Learning.