+52 55 5264 6858
Atención e Informes AMOP
www.amop.org.mx
Sitio oficial de la Academia Mexicana de Odontología Pediátrica, A.C.
Atención e Informes AMOP
Sitio oficial de la Academia Mexicana de Odontología Pediátrica, A.C.
La hipomineralización molar incisiva (HMI) descrita por Weerheijm en 20011 ha sido sin duda una de las anomalías del esmalte que han aumentado en mayor porcentaje su incidencia. Uno de los detalles clínicos más complicados es cuando el paciente se encuentra en un estado de desarrollo radicular incompleto y presenta síntomas de pulpitis irreversible; es bien sabido que el órgano dental con defectos en el esmalte tiene una tendencia a desarrollar lesiones en un período más corto de tiempo, por lo que es imprescindible prevenir siempre que sea posible, estas lesiones.2,3 En este artículo se desarrolla un caso clínico en el que se llevó a cabo una pulpotomía en un órgano dental permanente para mantener la vitalidad pulpar y permitir la función y estética.4
hipomineralización, molar, pulpotomía, primer molar permanente.
The incisive molar hypomineralization (IMH) described by Weerheijm in 20011 has undoubtedly been one of the enamel anomalies that has increased its incidence by the highest percentage. One of the most complicated clinical details is when the patient is in an incomplete state of root development and presents symptoms of irreversible pulpitis; it is well known that the dental organ with enamel defects has a tendency to develop lesions in a shorter period of time, so it is essential to prevent these lesions whenever possible.2,3 In this article a clinical case is developed in which a pulpotomy was carried out in a permanent dental organ to maintain pulp vitality and allow function and aesthetics.4
hipomineralization, molar, pulpotomy, permanent first molar.
La odontología pediátrica ha encontrado sin duda en la hipomineralización molar incisiva, nuevos retos para la odontología pediátrica contemporánea, ahora más que nunca es necesario estrechar y ampliar los conocimientos y habilidades del clínico relacionados a endodoncia en dientes permanentes jóvenes, rehabilitación de dientes permanentes, y es ahí donde más se dificulta, ya que el abordaje de esto es algo complicado.5
La sintomatología es una parte muy importante dentro de los elementos diagnósticos, y sin duda nos refleja en la mayoría de las ocasiones un panorama amplio del estado pulpar de nuestros pacientes; en el caso de la HMI es bastante común encontrar casos en los que la sensibilidad varía de ligera, moderada, hasta la pulpitis aguda que generalmente nos lleva a un diagnóstico de pulpitis irreversible. Sin embargo, existen varios factores a considerar, el primero, se trabaja con diente con ápice abierto, pulpa joven, lo que de entrada tiene un buen pronóstico si es tratado a tiempo, actualmente el realizar tratamientos de pulpotomías en dientes permanentes no es sinónimo de endodoncia, incluso existen reportes en los cuales se puede quedar como un tratamiento definitivo y su rehabilitación se considera definitiva bajo los fundamentos adecuados.6,7
El Biodentine (Septodont) es un biomaterial con base en silicato de calcio y tiene como función mantener la vitalidad pulpar, es un material muy versátil sobre todo en el área de endodoncia; no obstante, para el área de odontopediatría puede utilizarse para rehabilitación temporal de dientes temporales o permanentes, pulpotomías de dientes temporales o permanentes, recubrimiento pulpar directo o indirecto de dientes temporales o permanentes, teniendo un porcentaje bastante alto de efectividad, lo que hace que sea un material altamente biocompatible y seguro de utilizar en este tipo de tratamientos.8,9
Paciente masculino de ocho años de edad, sin antecedentes patológicos hereditarios, su motivo de consulta fue “no pude dormir anoche por dolor de muela”.
Encontramos el órgano dental 46 con una cavidad bastante profunda que nos reflejó una lesión amplia con una hipomineralización franca con actividad cariogénica. (Figura 1).

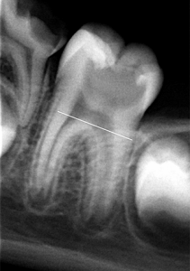
En la exploración radiográfica se apreció una lesión cercana a la cámara pulpar, por lo que se indicó que existía una pulpitis que por la extensión de la lesión y la sintomatología se determinó como diagnóstico pulpitis irreversible. (Figura 2).

El plan de tratamiento consistió en llevar a cabo una pulpotomía en el órgano dental 46 con Biodentine, proteger el Biodentine con ionómero de vidrio modificado con resina Fuji II LC®, rehabilitación con Solare X A2 (GC America). (Figuras 3 a 8).
Exploración clínica.
Toma de radiografía.
Aislamiento absoluto.
Acceso a la cámara pulpar con fresa de bola de carburo #8.
Amputación de la cámara pulpar.
Hemostasia con algodón estéril.
Desinfección con hipoclorito de sodio al 3%.
Aplicación de Biodentine (Septodont).
Colocación de Fuji II LC (GC America).
Grabado total con ácido fosfórico.
Colocación de adhesivo Solare Universal Bond (GC
America).
Colocación de resina Solare X A2 (GC America).






Tal como mencionan diferentes autores, los molares con hipomineralización pueden encontrarse en escenarios en los cuales es necesario tener una visión multidisciplinaria para poder resolverse de la mejor manera y que le dé un beneficio al paciente; asimismo, es necesario resolver de la forma más adecuada individualizando cada caso clínico en particular, y desarrollar un mejor plan de tratamiento y favorecer el pronóstico de cada intervención.
Lo anteriormente expuesto concuerda con el caso del paciente aquí presentado, cuyos resultados radiográficos en tres periodos: posoperatorio, un mes y un año de tratamiento, evidencian una respuesta favorable al seguimiento clínico (figuras 9 y 10).


La odontopediatría, la endodoncia y la rehabilitación oral son especialidades dentales que pueden converger y unirse para desarrollar protocolos avanzados en cuanto a tratamientos complejos de órganos dentales permanentes en etapas tempranas y que tengan la necesidad de un tratamiento multidisciplinario, el odontopediatra debe de tener un panorama amplio para proporcionar una longevidad y un mejor pronóstico a cada tratamiento.
Weerheijm KL, Jälevik B, Alaluusua S. Molar-incisor hypomineralisation. Caries Res. 2001; 35(5): 390-1.
Weerheijm KL, Mejàre I. Molar incisor hypomineralization: a questionnaire inventory of its occurrence in member countries of the European Academy of Paediatric Dentistry (EAPD). Int J Paediatr Dent. 2003; 13(6): 411-6.
Rodd HD, Morgan CR, Day PF, Boissonade FM. Pulpal expression of TRPV1 in molar incisor hypomineralisation, Eur Arch Paediatr Dent. 2007; 8(4): 184-8.
Lygidakis NA, Chaliasou A, Siounas G. Evaluation of composite restorations in hypomineralised permanent molars: a four year clinical study. Eur J Paediatr Dent. 2003; 4(3): 143-8.
Esti Davidovich, Shlomi Dagon, Israel Tamari, Michael Etinger, Eitan Mijiritsky. An Innovative Treatment Approach Using Digital Workflow and CAD-CAM. Part 2: The Restoration of Molar Incisor Hypomineralization in Children. Int J Environ Res Public Health. 2020; 17(5): 1499. doi:10.3390/ ijerph17051499
Hernández-Gatón P, Serrano CR, Nelson Filho P, et al. Stepwise Excavation Allows Apexogenesis in Permanent Molars with Deep Carious Lesions and Incomplete Root Formation. Caries Res. 2015; 49(6): 637-9.
Maltz M, Jardim JJ, Mestrinho HD, et al. Partial removal of carious dentine: a multicenter randomized controlled trial and 18-month follow-up results. Caries Res. 2013; 47(2): 103-9.
Yasin R, Al-Jundi S, Khader Y. Effect of mineral trioxide aggregate and biodentineTM on fracture resistance of immature teeth dentine over time: in vitro study. European Archives of Paediatric Dentistry. 2021: https://doi.org/10.1007/s40368- 020-00597-9
Rajasekharan S, Martens LC, Cauwels RGEC, Anthonappa RP. BiodentineTM material characteristics and clinical applications: a 3 year literature review and update. Eur Arch Paediatr Dent. 2018; 19(1): 1-22.
VOL. 33, NÚM. 1 • ENE-JUN 2021. 23-26
En trámite
En trámite
Maestro en Ciencias Odontológicas con acentuación en Odontología Infantil, docente de la Universidad AME de Monterrey.
NL, México.
Maestro en Ciencias Odontológicas de práctica privada.
Coordinador de Posgrado, Universidad AME de Monterrey.
NL, México.
diciembre 02, 2020.
enero 13, 2021.
doi: en trámite
https://doi.org/ en trámite
Guzmán-de Hoyos AI, y cols. Pulpotomía total en primeros molares permanentes con hipomineralización molar. Rev AMOP 2021; 33(1): 23-26.
Revista de la Academia Mexicana de Odontología Pediátrica Año 33, Vol. 33, Núm. 1, enero-junio 2021, es una publicación semestral, editada y órgano oficial de comunicación científica de la Academia Mexicana de Odontología Pediátrica, A.C., calle Baja California # 210, Desp. 503, Colonia Roma Sur, Alcaldía Cuauhtémoc. Ciudad de México, C.P. 06760, Tel. (55) 5264-6858, https://www.amop.org.mx, amop@live.com.mx, informes@amop.org.mx, toda correspondencia con relación a la revista; Editor responsable: Mtro. Enrique E. Huitzil Muñoz, iconomania@gmail.com.
Reserva de Derechos al Uso Exclusivo, género publicaciones periódicas 04-2017-101613540800-102, ISSN-e (en trámite), ambos otorgados por el Instituto Nacional de Derecho de Autor.
Responsable de la última actualización de este número Ediciones Berit FGV, S.A. de C.V. Oficinas: Tepetates 29 Bis. Col. Sta. Isabel Tola, C.P. 07010. Ciudad de México., México. Tels.: 55 5759-5164, 55 3026-8672, 55 3900-4614, edicionesberit@gmail.com. Fecha de la mas reciente actualización, 22 de febrero de 2021.
La Revista se encuentra disponible a texto completo en el portal Ediciones Berit FGV y en el Índice Mexicano de Revistas Biomédicas (Imbiomed) http://www.imbiomed.com.mx
Los artículos y fotografías son responsabilidad exclusiva de los autores. Los derechos de autor están reservados conforme a la Ley y a los convenios de los países signatarios de las Convenciones Panamericana e Internacional de Derechos de Autor. La reproducción parcial o total de este número solo podrá hacerse previa autorización escrita del Editor de la revista.